Phone:
+1 877 302 8632
Fax:
+1 888 205 9894 (Toll-free)
E-Mail:
orders@antibodies-online.com

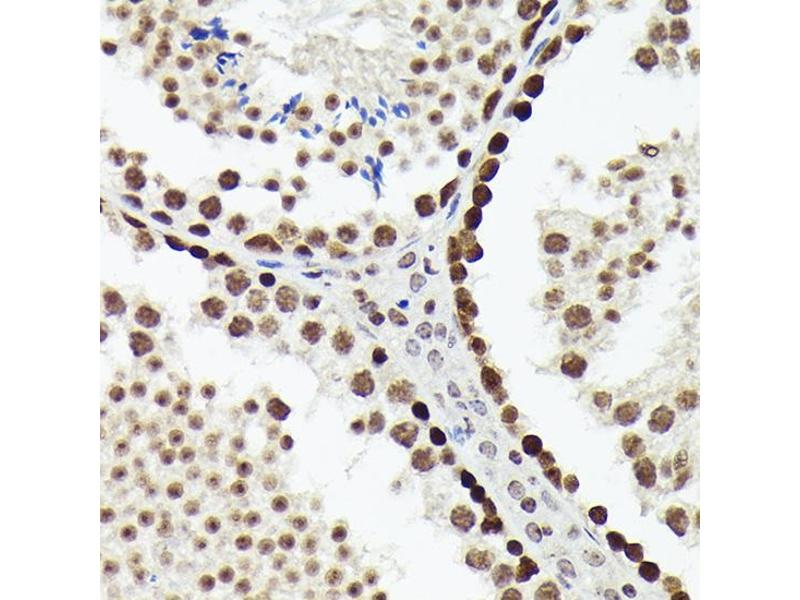
SOX4 antibody (AA 1-100)

The Rabbit Polyclonal anti-SOX4 antibody (ABIN7270575) specifically detects SOX4 in WB and IHC. The antibody is reactive with Human samples.
Catalog No. ABIN7270575
$383.00
Plus shipping costs $50.00
Shipping to: United States
Delivery in 7 to 10 Business Days

Quick Overview for SOX4 antibody (AA 1-100) (ABIN7270575)

Target

See all SOX4 Antibodies
SOX4 (SRY (Sex Determining Region Y)-Box 4 (SOX4))

Reactivity

  • 61
  • 25
  • 19
  • 4
  • 4
  • 2
  • 2
  • 2
  • 1
  • 1
  • 1
  • 1
  • 1
Human

Host

  • 43
  • 20
Rabbit

Clonality

  • 44
  • 19
Polyclonal

Conjugate

  • 31
  • 3
  • 3
  • 2
  • 1
  • 1
  • 1
  • 1
  • 1
  • 1
  • 1
  • 1
  • 1
  • 1
  • 1
  • 1
  • 1
  • 1
  • 1
  • 1
  • 1
  • 1
  • 1
  • 1
  • 1
  • 1
  • 1
  • 1
This SOX4 antibody is un-conjugated

Application

  • 39
  • 21
  • 19
  • 13
  • 13
  • 10
  • 6
  • 5
  • 5
  • 4
  • 3
  • 3
  • 2
  • 1
  • 1
Western Blotting (WB), Immunohistochemistry (IHC)
  • Binding Specificity

    • 15
    • 7
    • 6
    • 2
    • 2
    • 2
    • 1
    • 1
    • 1
    • 1
    • 1
    • 1
    • 1
    • 1
    AA 1-100

    Purpose

    SOX4 Rabbit pAb

    Sequence

    MVQQTNNAEN TEALLAGESS DSGAGLELGI ASSPTPGSTA STGGKADDPS WCKTPSGHIK RPMNAFMVWS QIERRKIMEQ SPDMHNAEIS KRLGKRWKLL

    Cross-Reactivity

    Human, Mouse

    Characteristics

    Polyclonal Antibodies

    Purification

    Affinity purification

    Immunogen

    A synthetic peptide corresponding to a sequence within amino acids 1-100 of human SOX4 (NP_003098.1).

    Isotype

    IgG
  • Application Notes

    WB,1:500 - 1:2000,IHC,1:50 - 1:200

    Restrictions

    For Research Use only
  • Format

    Liquid

    Buffer

    PBS with 0.02 % sodium azide,50 % glycerol, pH 7.3.

    Preservative

    Sodium azide

    Precaution of Use

    This product contains Sodium azide: a POISONOUS AND HAZARDOUS SUBSTANCE which should be handled by trained staff only.

    Storage

    -20 °C

    Storage Comment

    Store at -20°C. Avoid freeze / thaw cycles.
  • Target

    SOX4 (SRY (Sex Determining Region Y)-Box 4 (SOX4))

    Alternative Name

    SOX4

    Background

    This intronless gene encodes a member of the SOX (SRY-related HMG-box) family of transcription factors involved in the regulation of embryonic development and in the determination of the cell fate. The encoded protein may act as a transcriptional regulator after forming a protein complex with other proteins, such as syndecan binding protein (syntenin). The protein may function in the apoptosis pathway leading to cell death as well as to tumorigenesis and may mediate downstream effects of parathyroid hormone (PTH) and PTH-related protein (PTHrP) in bone development. The solution structure has been resolved for the HMG-box of a similar mouse protein.,SOX4,EVI16,SRY-box 4,Epigenetics & Nuclear Signaling,Transcription Factors,Signal Transduction,Neuroscience,Cell Type Marker,Stem Cells,Neural Stem Cells,Neural Stem Cell marker,SOX4

    Molecular Weight

    47kDa

    Gene ID

    6659

    UniProt

    Q06945
You are here:
Chat with us!