TCEA1 antibody
Quick Overview for TCEA1 antibody (ABIN7270877)
Target
See all TCEA1 AntibodiesReactivity
Host
Clonality
Conjugate
Application
-
-
Purpose
- TCEA1 Rabbit mAb
-
Cross-Reactivity
- Human, Mouse, Rat
-
Characteristics
- Monoclonal Antibodies
-
Purification
- Affinity purification
-
Immunogen
- Recombinant protein of Human TCEA1.
-
Isotype
- IgG
-
-
-
-
Application Notes
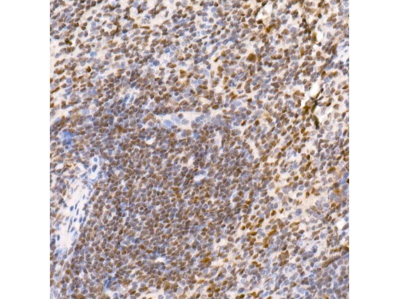
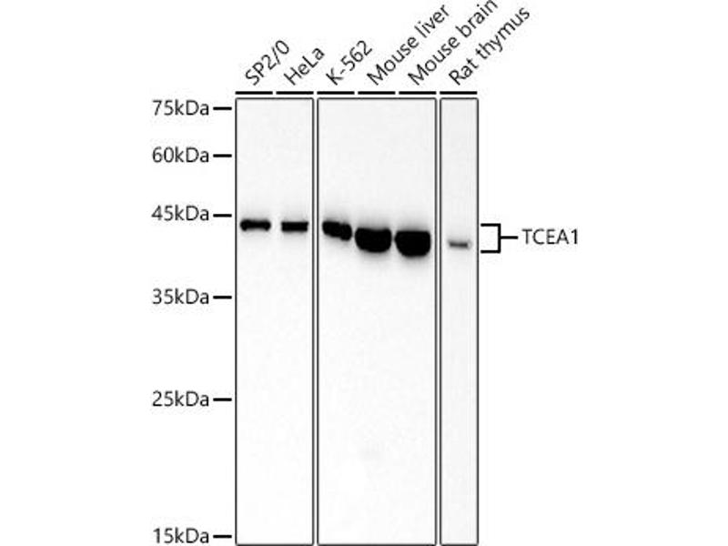
- WB,1:500 - 1:2000,IHC,1:50 - 1:200,IF,1:50 - 1:200
-
Restrictions
- For Research Use only
-
-
-
Format
- Liquid
-
Buffer
- PBS with 0.02 % sodium azide,0.05 % BSA,50 % glycerol, pH 7.3.
-
Preservative
- Sodium azide
-
Precaution of Use
- This product contains Sodium azide: a POISONOUS AND HAZARDOUS SUBSTANCE which should be handled by trained staff only.
-
Storage
- -20 °C
-
Storage Comment
- Store at -20°C. Avoid freeze / thaw cycles.
-
-
- TCEA1 (Transcription Elongation Factor A Protein 1 (TCEA1))
-
Alternative Name
- TCEA1
-
Background
- TCEA1,GTF2S,SII,TCEA,TF2S,TFIIS,Epigenetics & Nuclear Signaling,TCEA1
-
Molecular Weight
- 31kDa/33kDa
-
Gene ID
- 6917
-
UniProt
- P23193
Target
-