Phone:
+1 877 302 8632
Fax:
+1 888 205 9894 (Toll-free)
E-Mail:
orders@antibodies-online.com

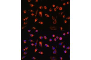
TMEM44 antibody (AA 110-260)

The Rabbit Polyclonal anti-TMEM44 antibody is suitable to detect TMEM44 in samples from Human. It has been validated for IF and WB.
Catalog No. ABIN7270964
$383.00
Plus shipping costs $50.00
Shipping to: United States
Delivery in 7 to 10 Business Days

Quick Overview for TMEM44 antibody (AA 110-260) (ABIN7270964)

Target

TMEM44 (Transmembrane Protein 44 (TMEM44))

Reactivity

Human

Host

  • 6
Rabbit

Clonality

  • 6
Polyclonal

Conjugate

  • 2
  • 2
  • 1
  • 1
This TMEM44 antibody is un-conjugated

Application

  • 4
  • 2
  • 1
  • 1
Immunofluorescence (IF), Western Blotting (WB)
  • Binding Specificity

    AA 110-260

    Purpose

    TMEM44 Rabbit pAb

    Sequence

    VCGSKFKSNS DREARERKRR RQLRASVFAL ALPLSLGPCW ALWVAVPKAS ATIRGPQRRL LASLLQENTE ILGYLLGSVA AFGSWASRIP PLSRIAPPPT LGITTQHEIW RGQMSKPSQS PSRSPSGHWR AAAQRQVLGT EMCRGKTFPS I

    Cross-Reactivity

    Mouse, Rat

    Characteristics

    Polyclonal Antibodies

    Purification

    Affinity purification

    Immunogen

    Recombinant fusion protein containing a sequence corresponding to amino acids 110-260 of human TMEM44 (NP_001159777.1).

    Isotype

    IgG
  • Application Notes

    WB,1:500 - 1:2000,IF,1:50 - 1:200

    Restrictions

    For Research Use only
  • Format

    Liquid

    Buffer

    PBS with 0.02 % sodium azide,50 % glycerol, pH 7.3.

    Preservative

    Sodium azide

    Precaution of Use

    This product contains Sodium azide: a POISONOUS AND HAZARDOUS SUBSTANCE which should be handled by trained staff only.

    Storage

    -20 °C

    Storage Comment

    Store at -20°C. Avoid freeze / thaw cycles.
  • Target

    TMEM44 (Transmembrane Protein 44 (TMEM44))

    Alternative Name

    TMEM44

    Background

    TMEM44,Cell Biology & Developmental Biology,TMEM44

    Molecular Weight

    43kDa/47kDa/48kDa/52kDa

    Gene ID

    93109

    UniProt

    Q2T9K0
You are here:
Chat with us!