Phone:
+1 877 302 8632
Fax:
+1 888 205 9894 (Toll-free)
E-Mail:
orders@antibodies-online.com

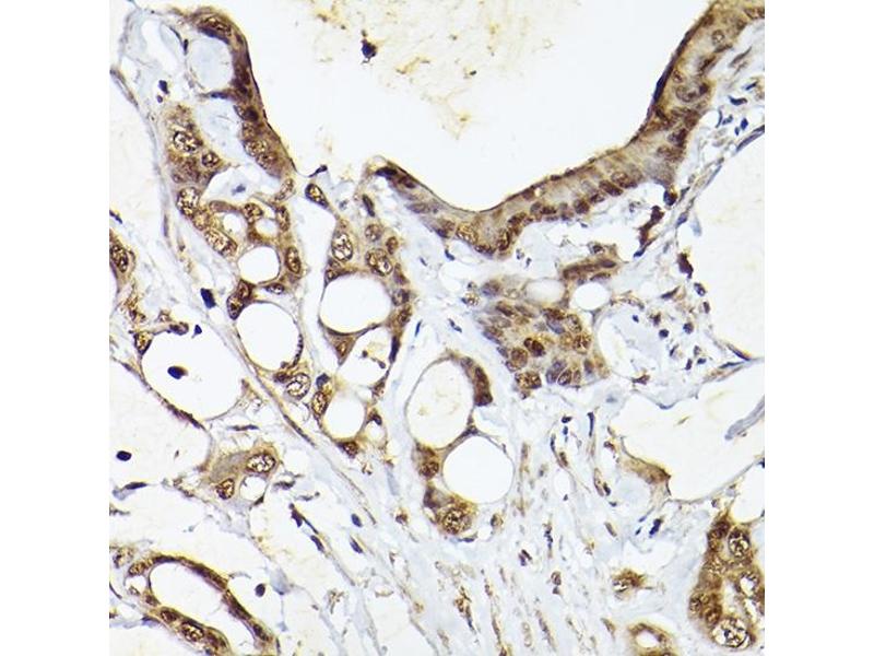
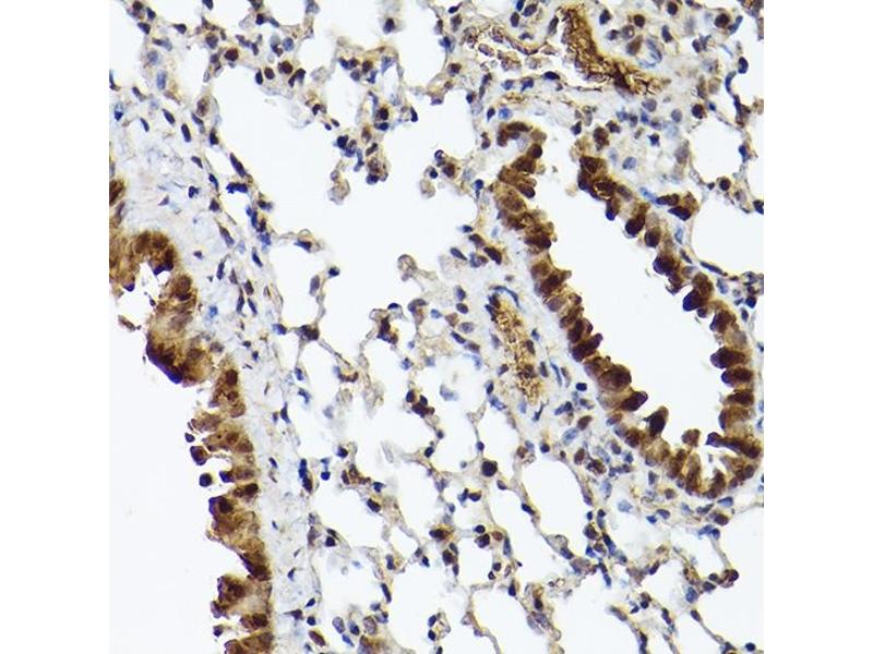
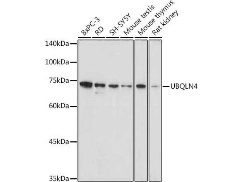
UBQLN4 antibody (AA 300-390)

The Rabbit Polyclonal anti-UBQLN4 antibody (ABIN7271124) specifically detects UBQLN4 in WB, IHC and IF. The antibody is reactive with Human samples.
Catalog No. ABIN7271124
$383.00
Plus shipping costs $50.00
Shipping to: United States
Delivery in 7 to 10 Business Days

Quick Overview for UBQLN4 antibody (AA 300-390) (ABIN7271124)

Target

See all UBQLN4 Antibodies
UBQLN4 (Ubiquilin 4 (UBQLN4))

Reactivity

  • 13
  • 7
  • 6
  • 4
  • 4
  • 4
  • 3
  • 3
  • 3
  • 3
  • 2
  • 1
  • 1
  • 1
  • 1
Human

Host

  • 13
Rabbit

Clonality

  • 11
  • 2
Polyclonal

Conjugate

  • 13
This UBQLN4 antibody is un-conjugated

Application

  • 13
  • 3
  • 3
  • 3
  • 2
  • 2
  • 2
  • 1
Western Blotting (WB), Immunohistochemistry (IHC), Immunofluorescence (IF)
  • Binding Specificity

    • 3
    • 2
    • 2
    • 1
    • 1
    • 1
    • 1
    • 1
    • 1
    AA 300-390

    Purpose

    UBQLN4 Rabbit pAb

    Sequence

    QFGNNPFSSL AGNSDSSSSQ PLRTENREPL PNPWSPSPPT SQAPGSGGEG TGGSGTSQVH PTVSNPFGIN AASLGSGMFN SPEMQALLQQ I

    Cross-Reactivity

    Human, Mouse, Rat

    Characteristics

    Polyclonal Antibodies

    Purification

    Affinity purification

    Immunogen

    Recombinant fusion protein containing a sequence corresponding to amino acids 300-390 of human UBQLN4 (NP_064516.2).

    Isotype

    IgG
  • Application Notes

    WB,1:500 - 1:2000,IHC,1:50 - 1:200,IF,1:50 - 1:200

    Restrictions

    For Research Use only
  • Format

    Liquid

    Buffer

    PBS with 0.02 % sodium azide,50 % glycerol, pH 7.3.

    Preservative

    Sodium azide

    Precaution of Use

    This product contains Sodium azide: a POISONOUS AND HAZARDOUS SUBSTANCE which should be handled by trained staff only.

    Storage

    -20 °C

    Storage Comment

    Store at -20°C. Avoid freeze / thaw cycles.
  • Target

    UBQLN4 (Ubiquilin 4 (UBQLN4))

    Alternative Name

    UBQLN4

    Background

    Regulator of protein degradation that mediates the proteasomal targeting of misfolded, mislocalized or accumulated proteins. Acts by binding polyubiquitin chains of target proteins via its UBA domain and by interacting with subunits of the proteasome via its ubiquitin-like domain. Key regulator of DNA repair that represses homologous recombination repair: in response to DNA damage, recruited to sites of DNA damage following phosphorylation by ATM and acts by binding and removing ubiquitinated MRE11 from damaged chromatin, leading to MRE11 degradation by the proteasome. MRE11 degradation prevents homologous recombination repair, redirecting double-strand break repair toward non-homologous end joining (NHEJ. Specifically recognizes and binds mislocalized transmembrane-containing proteins and targets them to proteasomal degradation. Collaborates with DESI1/POST in the export of ubiquitinated proteins from the nucleus to the cytoplasm. Also plays a role in the regulation of the proteasomal degradation of non-ubiquitinated GJA1 (By similarity. Acts as an adapter protein that recruits UBQLN1 to the autophagy machinery. Mediates the association of UBQLN1 with autophagosomes and the autophagy-related protein LC3 (MAP1LC3A/B/C and may assist in the maturation of autophagosomes to autolysosomes by mediating autophagosome-lysosome fusion.,UBQLN4,A1U,A1Up,C1orf6,CIP75,UBIN,Cell Biology & Developmental Biology,Ubiquitin,UBQLN4

    Molecular Weight

    24kDa/63kDa

    Gene ID

    56893

    UniProt

    Q9NRR5
You are here:
Chat with us!