This product contains Sodium azide: a POISONOUS AND HAZARDOUS SUBSTANCE which should be handled by trained staff only.
Storage
-20 °C
Storage Comment
Store at -20°C. Avoid freeze / thaw cycles.
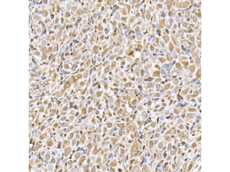
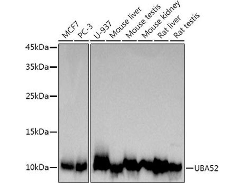
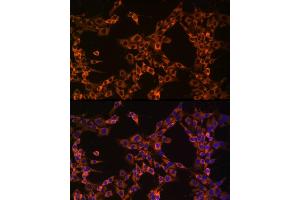
Target
UBA52
(Ubiquitin A-52 Residue Ribosomal Protein Fusion Product 1 (UBA52))
Alternative Name
UBA52
Background
Ubiquitin is a highly conserved nuclear and cytoplasmic protein that has a major role in targeting cellular proteins for degradation by the 26S proteosome. It is also involved in the maintenance of chromatin structure, the regulation of gene expression, and the stress response. Ubiquitin is synthesized as a precursor protein consisting of either polyubiquitin chains or a single ubiquitin moiety fused to an unrelated protein. This gene encodes a fusion protein consisting of ubiquitin at the N terminus and ribosomal protein L40 at the C terminus, a C-terminal extension protein (CEP). Multiple processed pseudogenes derived from this gene are present in the genome.,UBA52,CEP52,HUBCEP52,L40,RPL40,Epigenetics & Nuclear Signaling,Cell Biology & Developmental Biology,Apoptosis,Mitochondrial Control of Apoptosis,Ubiquitin,Ubiquitin-Proteasome Signaling Pathway,UBA52