Phone:
+1 877 302 8632
Fax:
+1 888 205 9894 (Toll-free)
E-Mail:
orders@antibodies-online.com

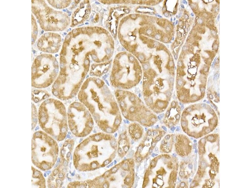
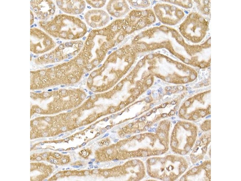
USP9Y antibody

The Rabbit Polyclonal anti-USP9Y antibody is suitable to detect USP9Y in samples from Human. It has been validated for WB, IF and IHC.
Catalog No. ABIN7271171
$383.00
Plus shipping costs $50.00
Shipping to: United States
Delivery in 7 to 10 Business Days

Quick Overview for USP9Y antibody (ABIN7271171)

Target

See all USP9Y Antibodies
USP9Y (Ubiquitin Specific Peptidase 9, Y-Linked (USP9Y))

Reactivity

  • 4
  • 1
  • 1
  • 1
  • 1
  • 1
  • 1
  • 1
Human

Host

  • 2
  • 2
Rabbit

Clonality

  • 2
  • 2
Polyclonal

Conjugate

  • 4
This USP9Y antibody is un-conjugated

Application

Western Blotting (WB), Immunofluorescence (IF), Immunohistochemistry (IHC)
  • Purpose

    USP9Y Rabbit pAb

    Cross-Reactivity

    Human, Mouse, Rat

    Characteristics

    Polyclonal Antibodies

    Purification

    Affinity purification

    Immunogen

    Recombinant protein of human USP9Y.

    Isotype

    IgG
  • Application Notes

    WB,1:500 - 1:2000,IHC,1:50 - 1:200,IF,1:50 - 1:200

    Restrictions

    For Research Use only
  • Format

    Liquid

    Buffer

    PBS with 0.02 % sodium azide,50 % glycerol, pH 7.3.

    Preservative

    Sodium azide

    Precaution of Use

    This product contains Sodium azide: a POISONOUS AND HAZARDOUS SUBSTANCE which should be handled by trained staff only.

    Storage

    -20 °C

    Storage Comment

    Store at -20°C. Avoid freeze / thaw cycles.
  • Target

    USP9Y (Ubiquitin Specific Peptidase 9, Y-Linked (USP9Y))

    Alternative Name

    USP9Y

    Background

    This gene is a member of the peptidase C19 family. It encodes a protein that is similar to ubiquitin-specific proteases, which cleave the ubiquitin moiety from ubiquitin-fused precursors and ubiquitinylated proteins.,DFFRY, SPGFY2,USP9Y

    Molecular Weight

    291kDa

    Gene ID

    8287

    UniProt

    O00507
You are here:
Chat with us!