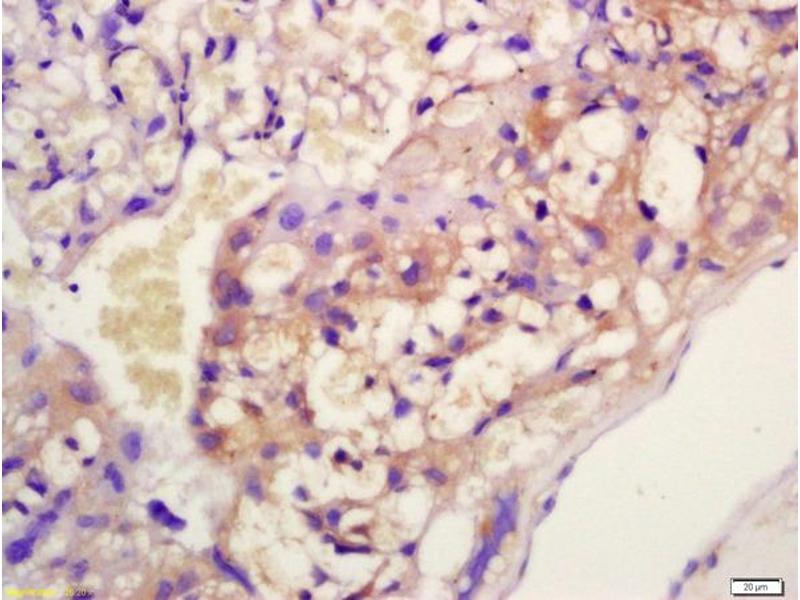
ELAPOR1 antibody (AA 841-940)
Quick Overview for ELAPOR1 antibody (AA 841-940) (ABIN717686)
Target
See all ELAPOR1 AntibodiesReactivity
Host
Clonality
Conjugate
Application
-
-
Binding Specificity
- AA 841-940
-
Predicted Reactivity
- Human,Mouse,Rat,Dog,Cow,Pig
-
Purification
- Purified by Protein A.
-
Immunogen
- KLH conjugated synthetic peptide derived from human Estrogen-induced gene 121 protein
-
Isotype
- IgG
-
-
-
-
Application Notes
-
WB 1:300-5000
ELISA 1:500-1000
IHC-P 1:200-400
IHC-F 1:100-500
IF(IHC-P) 1:50-200
IF(IHC-F) 1:50-200
IF(ICC) 1:50-200
ICC 1:100-500 -
Restrictions
- For Research Use only
-
-
-
Format
- Liquid
-
Concentration
- 1 μg/μL
-
Buffer
- 0.01M TBS( pH 7.4) with 1 % BSA, 0.02 % Proclin300 and 50 % Glycerol.
-
Preservative
- ProClin
-
Precaution of Use
- This product contains ProClin: a POISONOUS AND HAZARDOUS SUBSTANCE, which should be handled by trained staff only.
-
Storage
- 4 °C,-20 °C
-
Storage Comment
- Shipped at 4°C. Store at -20°C for one year. Avoid repeated freeze/thaw cycles.
-
Expiry Date
- 12 months
-
-
- ELAPOR1 (Endosome/Lysosome-associated Apoptosis and Autophagy Regulator 1 (ELAPOR1))
-
Alternative Name
- Eig121
-
Background
-
Synonyms: EIG121, UPF0577 protein KIAA1324, Estrogen-induced gene 121 protein, KIAA1324, UNQ2426/PRO4985
Background: Estrogen-induced gene 121 protein may play a role as a marker of hyperestrogenic state and estrogen-related type I endometrial carcinoma. It belongs to the UPF0577 family.
-
Gene ID
- 57535
-
UniProt
- Q6UXG2
Target
-