PLA2G6 antibody (AA 651-750)
Quick Overview for PLA2G6 antibody (AA 651-750) (ABIN720281)
Target
See all PLA2G6 AntibodiesReactivity
Host
Clonality
Conjugate
Application
-
-
Binding Specificity
- AA 651-750
-
Cross-Reactivity
- Rat
-
Predicted Reactivity
- Human,Mouse,Dog,Pig
-
Purification
- Purified by Protein A.
-
Immunogen
- KLH conjugated synthetic peptide derived from human CaI-PLA2/PLA2G6
-
Isotype
- IgG
-
-
-
-
Application Notes
-
WB 1:300-5000
ELISA 1:500-1000
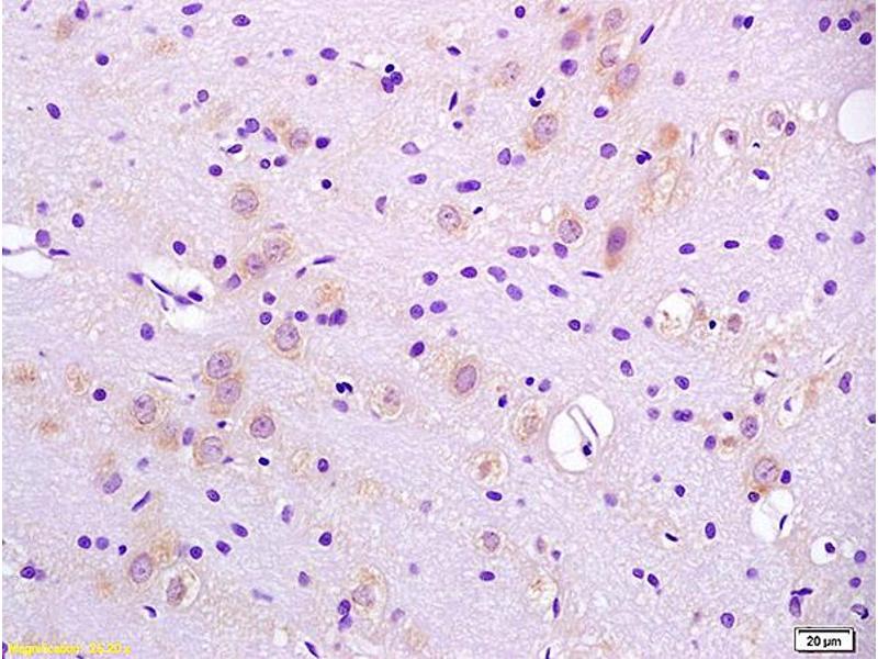
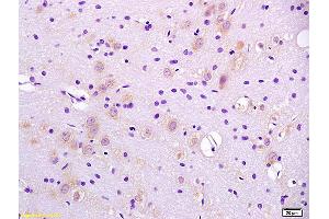
IHC-P 1:200-400
IHC-F 1:100-500
IF(IHC-P) 1:50-200
IF(IHC-F) 1:50-200
IF(ICC) 1:50-200 -
Restrictions
- For Research Use only
-
-
-
Format
- Liquid
-
Concentration
- 1 μg/μL
-
Buffer
- 0.01M TBS( pH 7.4) with 1 % BSA, 0.02 % Proclin300 and 50 % Glycerol.
-
Preservative
- ProClin
-
Precaution of Use
- This product contains ProClin: a POISONOUS AND HAZARDOUS SUBSTANCE, which should be handled by trained staff only.
-
Storage
- 4 °C,-20 °C
-
Storage Comment
- Shipped at 4°C. Store at -20°C for one year. Avoid repeated freeze/thaw cycles.
-
Expiry Date
- 12 months
-
-
- PLA2G6 (Phospholipase A2, Group VI (Cytosolic, Calcium-Independent) (PLA2G6))
-
Alternative Name
- CaI-PLA2
-
Background
-
Synonyms: GVI, PLA2, INAD1, NBIA2, iPLA2, NBIA2A, NBIA2B, PARK14, PNPLA9, CaI-PLA2, IPLA2-VIA, iPLA2beta, 85/88 kDa calcium-independent phospholipase A2, Group VI phospholipase A2, GVI PLA2, Intracellular membrane-associated calcium-independent phospholipase A2 beta, iPLA2-beta, Patatin-like phospholipase domain-containing protein 9, PLA2G6, PLPLA9
Background: Catalyzes the release of fatty acids from phospholipids. It has been implicated in normal phospholipid remodeling, nitric oxide-induced or vasopressin-induced arachidonic acid release and in leukotriene and prostaglandin production. May participate in fas mediated apoptosis and in regulating transmembrane ion flux in glucose-stimulated B-cells. Has a role in cardiolipin (CL) deacylation. Required for both speed and directionality of monocyte MCP1/CCL2-induced chemotaxis through regulation of F-actin polymerization at the pseudopods. Isoform ankyrin-iPLA2-1 and isoform ankyrin-iPLA2-2, which lack the catalytic domain, are probably involved in the negative regulation of iPLA2 activity.
-
Gene ID
- 8398
-
UniProt
- O60733
-
Pathways
- Positive Regulation of Peptide Hormone Secretion
Target
-