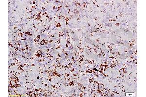
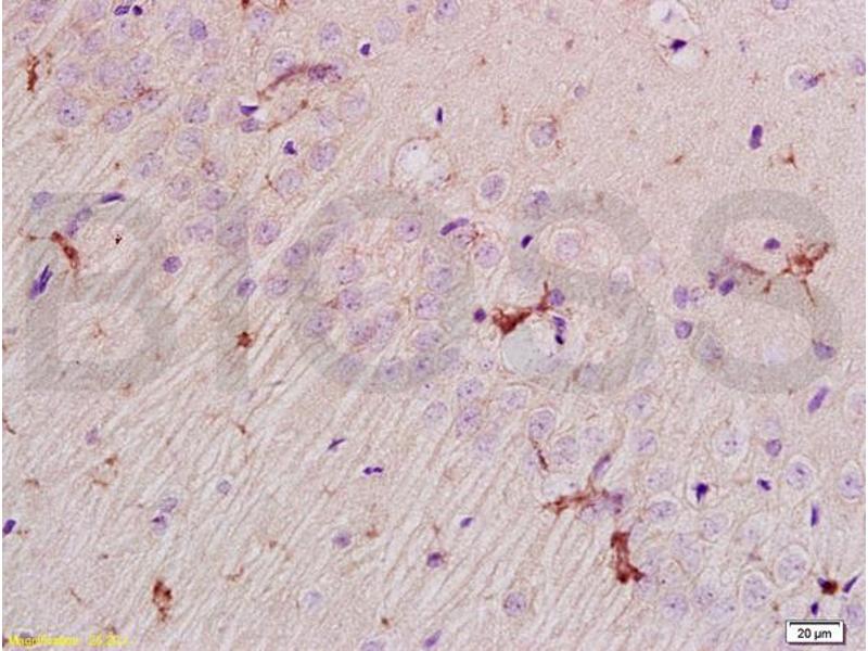
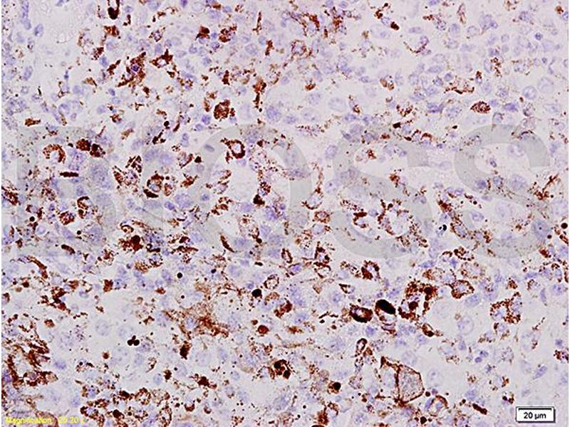
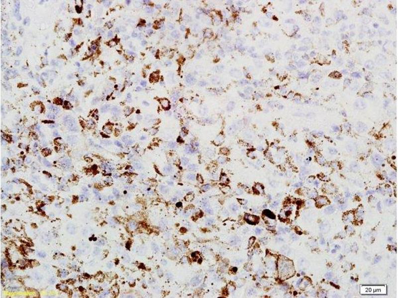
PRAME antibody (AA 151-250)
Quick Overview for PRAME antibody (AA 151-250) (ABIN721555)
Target
See all PRAME AntibodiesReactivity
Host
Clonality
Conjugate
Application
-
-
Binding Specificity
- AA 151-250
-
Cross-Reactivity
- Human, Mouse
-
Purification
- Purified by Protein A.
-
Immunogen
- KLH conjugated synthetic peptide derived from human PRAME
-
Isotype
- IgG
-
-
-
-
Application Notes
-
ELISA 1:500-1000
FCM 1:20-100
IHC-P 1:200-400
IHC-F 1:100-500
IF(IHC-P) 1:50-200
IF(IHC-F) 1:50-200
IF(ICC) 1:50-200
ICC 1:100-500 -
Restrictions
- For Research Use only
-
-
-
Format
- Liquid
-
Concentration
- 1 μg/μL
-
Buffer
- 0.01M TBS( pH 7.4) with 1 % BSA, 0.02 % Proclin300 and 50 % Glycerol.
-
Preservative
- ProClin
-
Precaution of Use
- This product contains ProClin: a POISONOUS AND HAZARDOUS SUBSTANCE, which should be handled by trained staff only.
-
Storage
- 4 °C,-20 °C
-
Storage Comment
- Shipped at 4°C. Store at -20°C for one year. Avoid repeated freeze/thaw cycles.
-
Expiry Date
- 12 months
-
-
- PRAME (Preferentially Expressed Antigen in Melanoma (PRAME))
-
Alternative Name
- PRAME
-
Background
-
Synonyms: MAPE, OIP4, CT130, OIP-4, Melanoma antigen preferentially expressed in tumors, Opa-interacting protein 4, Preferentially expressed antigen of melanoma, PRAME
Background: Functions as a transcriptional repressor, inhibiting the signaling of retinoic acid through the retinoic acid receptors RARA, RARB and RARG. Prevents retinoic acid-induced cell proliferation arrest, differentiation and apoptosis.
-
Gene ID
- 23532
-
UniProt
- P78395
-
Pathways
- Retinoic Acid Receptor Signaling Pathway, Nuclear Hormone Receptor Binding
Target
-