Phone:
+1 877 302 8632
Fax:
+1 888 205 9894 (Toll-free)
E-Mail:
orders@antibodies-online.com

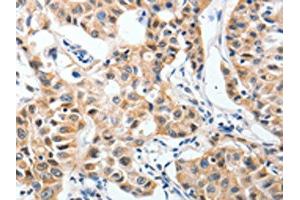
Recombinant P2RY6 antibody

The Rabbit Monoclonal anti-P2RY6 antibody is suitable to detect P2RY6 in samples from Human. It has been validated for WB, ICC, IP, IHC (p) and IHC (fro).
Catalog No. ABIN7516269
$772.20
Plus shipping costs $50.00
100 μL
Shipping to: United States
Delivery in 11 to 14 Business Days

Quick Overview for Recombinant P2RY6 antibody (ABIN7516269)

Target

See all P2RY6 Antibodies
P2RY6 (Pyrimidinergic Receptor P2Y, G-Protein Coupled, 6 (P2RY6))

Antibody Type

Recombinant Antibody

Reactivity

  • 55
  • 14
  • 14
  • 3
  • 3
  • 3
  • 3
  • 1
  • 1
  • 1
  • 1
Human

Host

  • 59
Rabbit

Clonality

  • 39
  • 20
Monoclonal

Conjugate

  • 22
  • 5
  • 4
  • 4
  • 4
  • 4
  • 4
  • 4
  • 2
  • 2
  • 1
  • 1
  • 1
  • 1
This P2RY6 antibody is un-conjugated

Application

  • 32
  • 17
  • 13
  • 12
  • 12
  • 10
  • 5
  • 4
  • 3
  • 2
  • 1
  • 1
Western Blotting (WB), Immunocytochemistry (ICC), Immunoprecipitation (IP), Immunohistochemistry (Paraffin-embedded Sections) (IHC (p)), Immunohistochemistry (Frozen Sections) (IHC (fro))

Clone

R06-4D8
You are here:
Chat with us!