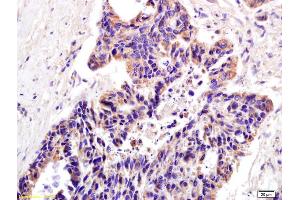
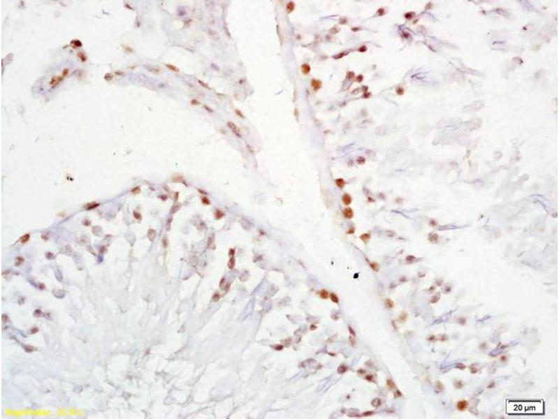
XAGE2 antibody (AA 30-70)
Quick Overview for XAGE2 antibody (AA 30-70) (ABIN721750)
Target
See all XAGE2 AntibodiesReactivity
Host
Clonality
Conjugate
Application
-
-
Binding Specificity
- AA 30-70
-
Cross-Reactivity
- Human
-
Purification
- Purified by Protein A.
-
Immunogen
- KLH conjugated synthetic peptide derived from human XAGE2
-
Isotype
- IgG
-
-
-
-
Application Notes
-
WB 1:300-5000
ELISA 1:500-1000
IHC-P 1:200-400
IHC-F 1:100-500
IF(IHC-P) 1:50-200
IF(IHC-F) 1:50-200
IF(ICC) 1:50-200 -
Restrictions
- For Research Use only
-
-
-
Format
- Liquid
-
Concentration
- 1 μg/μL
-
Buffer
- 0.01M TBS( pH 7.4) with 1 % BSA, 0.02 % Proclin300 and 50 % Glycerol.
-
Preservative
- ProClin
-
Precaution of Use
- This product contains ProClin: a POISONOUS AND HAZARDOUS SUBSTANCE, which should be handled by trained staff only.
-
Storage
- 4 °C,-20 °C
-
Storage Comment
- Shipped at 4°C. Store at -20°C for one year. Avoid repeated freeze/thaw cycles.
-
Expiry Date
- 12 months
-
-
- XAGE2 (X Antigen Family, Member 2 (XAGE2))
-
Alternative Name
- XAGE2
-
Background
-
Synonyms: CT12.2, GAGED3, XAGE-2, X antigen family member 2, Cancer/testis antigen 12.2, G antigen family D member 3, XAGE2
Background: XAGE2 belongs to the GAGE family of genes which are expressed in a variety of tumors and in some fetal and reproductive tissues. XAGE2 is strongly expressed in normal testis, and in Ewing's sarcoma, rhabdomyosarcoma, a breast cancer and a germ cell tumor. Its function is unknown.
-
Gene ID
- 9502
-
UniProt
- Q96GT9
Target
-