Phone:
+1 877 302 8632
Fax:
+1 888 205 9894 (Toll-free)
E-Mail:
orders@antibodies-online.com

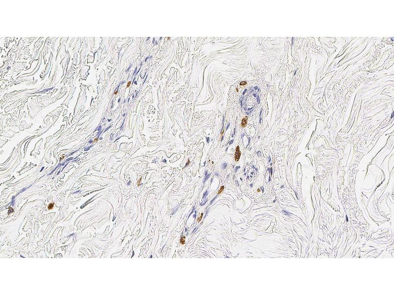
Mast Cell Tryptase antibody

This Mouse Monoclonal antibody specifically detects Mast Cell Tryptase in IHC and IHC (p). It exhibits reactivity toward Human.
Catalog No. ABIN7538908
$713.76
Plus shipping costs $50.00
1 mL
Shipping to: United States
Delivery in 8 to 12 Business Days

Quick Overview for Mast Cell Tryptase antibody (ABIN7538908)

Target

See all Mast Cell Tryptase Antibodies
Mast Cell Tryptase

Reactivity

  • 22
  • 18
  • 17
  • 1
  • 1
  • 1
Human

Host

  • 18
  • 4
Mouse

Clonality

  • 21
  • 1
Monoclonal

Conjugate

  • 5
  • 2
  • 2
  • 2
  • 2
  • 2
  • 2
  • 2
  • 1
  • 1
  • 1
This Mast Cell Tryptase antibody is un-conjugated

Application

  • 14
  • 13
  • 9
  • 3
  • 2
  • 1
  • 1
  • 1
Immunohistochemistry (IHC), Immunohistochemistry (Paraffin-embedded Sections) (IHC (p))

Clone

10D11
  • Purpose

    Liquid Mouse Monoclonal Antibody Mast Cell Tryptase

    Specificity

    Human mast cell tryptase.

    Characteristics

    This product is intended for the qualitative identification by light microscopy of human mast cell tryptase in paraffin sections.

    Purification

    Tissue culture supernatant

    Immunogen

    Prokaryotic recombinant protein corresponding to the unbound region of the human mast cell tryptase molecule.

    Isotype

    IgG2b, kappa
  • Application Notes

    Immunohistochemical (IHC) staining techniques allow for the visualization of antigens via the sequential application of a specific antibody to the antigen (primary antibody), a secondary antibody to the primary antibody and an enzyme complex with a chromogenic substrate with interposed washing steps. The enzymatic activation of the chromogen results in a visible reaction product at the antigen site. The specimen may then be counterstained and coverslipped. Results are interpreted using a light microscope.

    Comment

    Is recommended for the assessment of mast cell tryptase protein expression in normal and neoplastic tissue.

    Restrictions

    For Research Use only
  • Format

    Liquid

    Buffer

    The product is a liquid tissue culture supernatant containing sodium azide as a preservative.

    Preservative

    Sodium azide

    Precaution of Use

    This product contains Sodium azide: a POISONOUS AND HAZARDOUS SUBSTANCE which should be handled by trained staff only.

    Storage

    4 °C

    Storage Comment

    Store at 2-8 °C. Do not freeze. Return to 2-8 °C immediately after use. Do not use after expiration date indicated on the vial label. Storage conditions other than those specified above must be verified by the user.

    Expiry Date

    12 months
  • Target

    Mast Cell Tryptase
You are here:
Chat with us!