Phone:
+1 877 302 8632
Fax:
+1 888 205 9894 (Toll-free)
E-Mail:
orders@antibodies-online.com

GLP-1 antibody (AA 7-36)

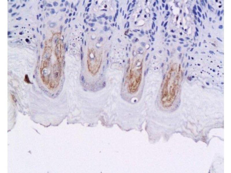
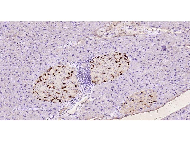
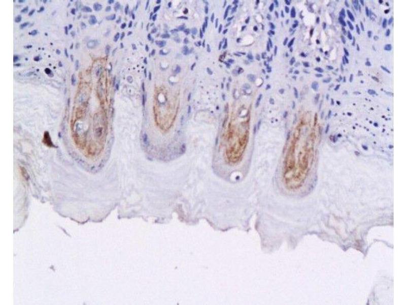
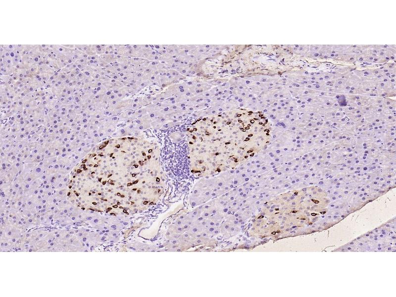
There is 1 publication for this product available. The Rabbit Polyclonal anti-GLP-1 antibody is suitable to detect GLP-1 in samples from Human, Mouse and Rat. It has been validated for ELISA, IF (p), IF (cc), IHC (p) and IHC (fro).
Catalog No. ABIN724025
$384.62
Plus shipping costs $50.00
100 μL
Shipping to: United States
Delivery in 4 to 7 Business Days

Quick Overview for GLP-1 antibody (AA 7-36) (ABIN724025)

Target

See all GLP-1 Antibodies
GLP-1 (Glucagon-like peptide 1 (GLP-1))

Reactivity

  • 70
  • 35
  • 34
  • 5
  • 3
  • 3
  • 3
  • 3
Human, Mouse, Rat

Host

  • 59
  • 13
  • 1
Rabbit

Clonality

  • 43
  • 30
Polyclonal

Conjugate

  • 24
  • 7
  • 3
  • 2
  • 2
  • 2
  • 2
  • 2
  • 2
  • 2
  • 2
  • 2
  • 2
  • 2
  • 2
  • 2
  • 2
  • 2
  • 2
  • 2
  • 2
  • 1
  • 1
  • 1
This GLP-1 antibody is un-conjugated

Application

  • 25
  • 25
  • 24
  • 20
  • 18
  • 16
  • 10
  • 6
  • 6
  • 5
  • 5
  • 3
  • 2
  • 2
  • 2
  • 1
  • 1
  • 1
  • 1
ELISA, Immunofluorescence (Paraffin-embedded Sections) (IF (p)), Immunofluorescence (Cultured Cells) (IF (cc)), Immunohistochemistry (Paraffin-embedded Sections) (IHC (p)), Immunohistochemistry (Frozen Sections) (IHC (fro))
  • Binding Specificity

    • 17
    • 15
    • 2
    • 1
    • 1
    • 1
    • 1
    • 1
    • 1
    • 1
    • 1
    AA 7-36

    Cross-Reactivity

    Human, Mouse, Rat

    Predicted Reactivity

    Cow,Sheep,Pig

    Purification

    Purified by Protein A.

    Immunogen

    KLH conjugated synthetic peptide derived from human GLP-1 (7-36)

    Isotype

    IgG
  • Application Notes

    ELISA 1:500-1000
    IHC-P 1:200-400
    IHC-F 1:100-500
    IF(IHC-P) 1:50-200
    IF(IHC-F) 1:50-200
    IF(ICC) 1:50-200

    Restrictions

    For Research Use only
  • Format

    Liquid

    Concentration

    1 μg/μL

    Buffer

    0.01M TBS( pH 7.4) with 1 % BSA, 0.02 % Proclin300 and 50 % Glycerol.

    Preservative

    ProClin

    Precaution of Use

    This product contains ProClin: a POISONOUS AND HAZARDOUS SUBSTANCE, which should be handled by trained staff only.

    Storage

    4 °C,-20 °C

    Storage Comment

    Shipped at 4°C. Store at -20°C for one year. Avoid repeated freeze/thaw cycles.

    Expiry Date

    12 months
  • Zhang, Li, Liang, Luo, Zen, Zhang: "Uncoupling protein 2 negatively regulates glucose-induced glucagon-like peptide 1 secretion." in: Journal of molecular endocrinology, Vol. 48, Issue 2, pp. 151-8, (2012) (PubMed).

  • Target

    GLP-1 (Glucagon-like peptide 1 (GLP-1))

    Alternative Name

    GLP-1

    Background

    Synonyms: GLP1, GLP2, GRPP, Glucagon, GCG

    Background: Glucagon plays a key role in glucose metabolism and homeostasis. Regulates blood glucose by increasing gluconeogenesis and decreasing glycolysis. A counterregulatory hormone of insulin, raises plasma glucose levels in response to insulin-induced hypoglycemia. Plays an important role in initiating and maintaining hyperglycemic conditions in diabetes. GLP-1 is a potent stimulator of glucose-dependent insulin release. Play important roles on gastric motility and the suppression of plasma glucagon levels. May be involved in the suppression of satiety and stimulation of glucose disposal in peripheral tissues, independent of the actions of insulin. Have growth-promoting activities on intestinal epithelium. May also regulate the hypothalamic pituitary axis (HPA) via effects on LH, TSH, CRH, oxytocin, and vasopressin secretion. Increases islet mass through stimulation of islet neogenesis and pancreatic beta cell proliferation. Inhibits beta cell apoptosis. GLP-2 stimulates intestinal growth and up-regulates villus height in the small intestine, concomitant with increased crypt cell proliferation and decreased enterocyte apoptosis. The gastrointestinal tract, from the stomach to the colon is the principal target for GLP-2 action. Plays a key role in nutrient homeostasis, enhancing nutrient assimilation through enhanced gastrointestinal function, as well as increasing nutrient disposal. Stimulates intestinal glucose transport and decreases mucosal permeability. Oxyntomodulin significantly reduces food intake. Inhibits gastric emptying in humans. Suppression of gastric emptying may lead to increased gastric distension, which may contribute to satiety by causing a sensation of fullness. Glicentin may modulate gastric acid secretion and the gastro-pyloro-duodenal activity. May play an important role in intestinal mucosal growth in the early period of life.

    Gene ID

    2641

    UniProt

    P01275
You are here:
Chat with us!