Phone:
+1 877 302 8632
Fax:
+1 888 205 9894 (Toll-free)
E-Mail:
orders@antibodies-online.com

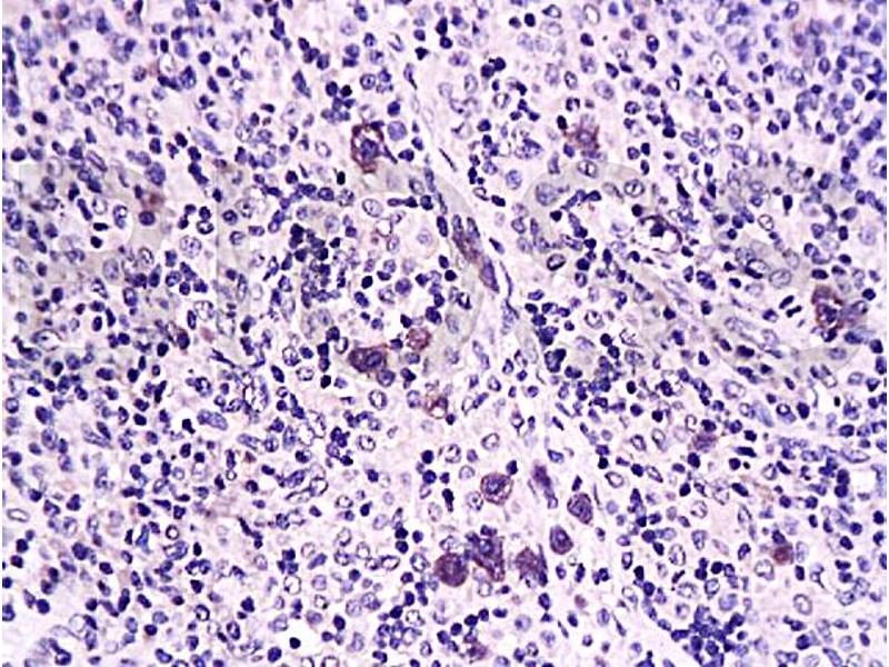
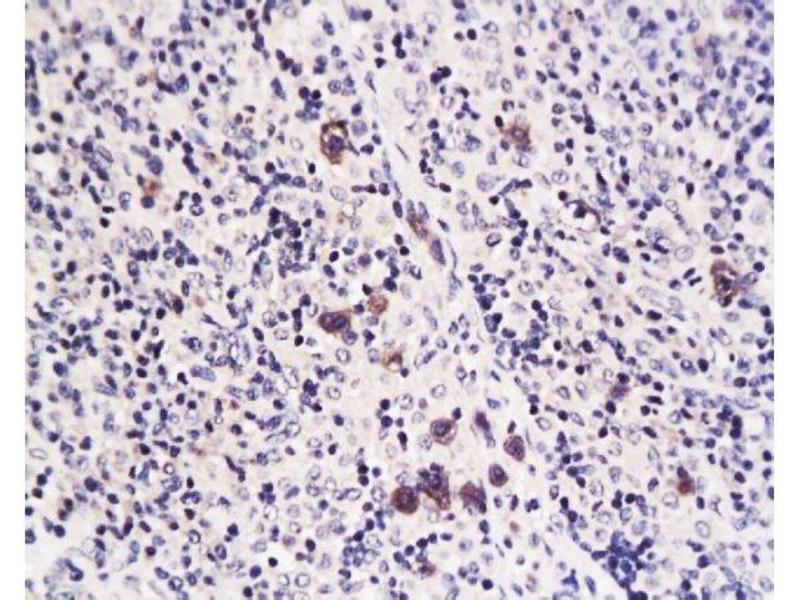
Caspase 1 (p10) antibody (AA 320-404)

There are 4+ publications for this product available. The Rabbit Polyclonal anti-Caspase 1 (p10) antibody is suitable to detect Caspase 1 (p10) in samples from Human, Mouse, Rat and Chicken. It has been validated for WB, FACS, IF (cc), IF (p), ELISA, IHC (fro) and IHC (p).
Catalog No. ABIN725780
$384.62
Plus shipping costs $50.00
100 μL
Shipping to: United States
Delivery in 4 to 7 Business Days

Quick Overview for Caspase 1 (p10) antibody (AA 320-404) (ABIN725780)

Target

Caspase 1 (p10) (CASP-1 (p10))

Reactivity

Human, Mouse, Rat, Chicken

Host

  • 47
  • 2
Rabbit

Clonality

  • 47
  • 2
Polyclonal

Conjugate

  • 4
  • 4
  • 3
  • 3
  • 3
  • 3
  • 3
  • 3
  • 3
  • 3
  • 3
  • 3
  • 3
  • 3
  • 3
  • 2
This Caspase 1 (p10) antibody is un-conjugated

Application

  • 49
  • 27
  • 25
  • 25
  • 8
  • 5
  • 5
  • 1
  • 1
Western Blotting (WB), Flow Cytometry (FACS), Immunofluorescence (Cultured Cells) (IF (cc)), Immunofluorescence (Paraffin-embedded Sections) (IF (p)), ELISA, Immunohistochemistry (Frozen Sections) (IHC (fro)), Immunohistochemistry (Paraffin-embedded Sections) (IHC (p))
  • Binding Specificity

    • 16
    • 15
    • 15
    • 1
    AA 320-404

    Cross-Reactivity

    Chicken, Human, Mouse, Rat

    Purification

    Purified by Protein A.

    Immunogen

    KLH conjugated synthetic peptide derived from human Caspase-1

    Isotype

    IgG
  • Application Notes

    WB 1:300-5000
    ELISA 1:500-1000
    FCM 1:20-100
    IHC-P 1:200-400
    IHC-F 1:100-500
    IF(IHC-P) 1:50-200
    IF(IHC-F) 1:50-200
    IF(ICC) 1:50-200

    Restrictions

    For Research Use only
  • Format

    Liquid

    Concentration

    1 μg/μL

    Buffer

    0.01M TBS( pH 7.4) with 1 % BSA, 0.02 % Proclin300 and 50 % Glycerol.

    Preservative

    ProClin

    Precaution of Use

    This product contains ProClin: a POISONOUS AND HAZARDOUS SUBSTANCE, which should be handled by trained staff only.

    Storage

    4 °C,-20 °C

    Storage Comment

    Shipped at 4°C. Store at -20°C for one year. Avoid repeated freeze/thaw cycles.

    Expiry Date

    12 months
  • Daverey, Agrawal: "Curcumin alleviates oxidative stress and mitochondrial dysfunction in astrocytes." in: Neuroscience, Vol. 333, pp. 92-103, (2016) (PubMed).

    Wang, Lei, Zhang, Zhao, Fang, Lai, Han, Xiao, Wang: "Xenobiotic Pregnane X Receptor (PXR) Regulates Innate Immunity via Activation of NLRP3 Inflammasome in Vascular Endothelial Cells." in: The Journal of biological chemistry, Vol. 289, Issue 43, pp. 30075-81, (2014) (PubMed).

    Yao, Wigginton, Maass, Ma, Carlson, Wolf, Minei, Zang: "Estrogen-provided cardiac protection following burn trauma is mediated through a reduction in mitochondria-derived DAMPs." in: American journal of physiology. Heart and circulatory physiology, Vol. 306, Issue 6, pp. H882-94, (2014) (PubMed).

    Hu, Kang, Chen, Mamuti, Wu, Yuan: "Drug-induced apoptosis of Echinococcus granulosus protoscoleces." in: Parasitology research, Vol. 109, Issue 2, pp. 453-9, (2011) (PubMed).

  • Target

    Caspase 1 (p10) (CASP-1 (p10))

    Alternative Name

    Caspase-1 P10

    Background

    Synonyms: ICE, P45, IL1BC, Caspase-1, CASP-1, Interleukin-1 beta convertase, IL-1BC, Interleukin-1 beta-converting enzyme, IL-1 beta-converting enzyme, CASP1, IL1BCE

    Background: Thiol protease that cleaves IL-1 beta between an Asp and an Ala, releasing the mature cytokine which is involved in a variety of inflammatory processes. Important for defense against pathogens. Cleaves and activates sterol regulatory element binding proteins (SREBPs). Can also promote apoptosis.

    Gene ID

    834

    UniProt

    P29466
You are here:
Chat with us!