PACAP-38 antibody (AA 31-38)
Quick Overview for PACAP-38 antibody (AA 31-38) (ABIN726215)
Target
See all PACAP-38 AntibodiesReactivity
Host
Clonality
Conjugate
Application
-
-
Binding Specificity
- AA 31-38
-
Cross-Reactivity
- Human, Mouse, Rat
-
Predicted Reactivity
- Cow,Sheep,Pig
-
Purification
- Purified by Protein A.
-
Immunogen
- KLH conjugated synthetic peptide derived from human PACAP-38
-
Isotype
- IgG
-
-
-
-
Application Notes
-
ELISA 1:500-1000
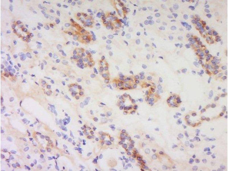
IHC-P 1:200-400
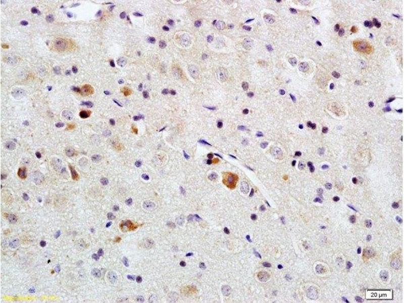
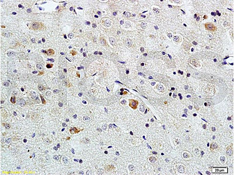
IHC-F 1:100-500
IF(IHC-P) 1:50-200
IF(IHC-F) 1:50-200
IF(ICC) 1:50-200 -
Restrictions
- For Research Use only
-
-
-
Format
- Liquid
-
Concentration
- 1 μg/μL
-
Buffer
- 0.01M TBS( pH 7.4) with 1 % BSA, 0.02 % Proclin300 and 50 % Glycerol.
-
Preservative
- ProClin
-
Precaution of Use
- This product contains ProClin: a POISONOUS AND HAZARDOUS SUBSTANCE, which should be handled by trained staff only.
-
Storage
- 4 °C,-20 °C
-
Storage Comment
- Shipped at 4°C. Store at -20°C for one year. Avoid repeated freeze/thaw cycles.
-
Expiry Date
- 12 months
-
-
- PACAP-38 (Pituitary Adenylate Cyclase Activating Polypeptide 38 (PACAP-38))
-
Alternative Name
- PACAP-38
-
Background
-
Synonyms: PACAP, Pituitary adenylate cyclase-activating polypeptide, ADCYAP1
Background: Binding to its receptor activates G proteins and stimulates adenylate cyclase in pituitary cells. Promotes neuron projection development through the RAPGEF2/Rap1/B-Raf/ERK pathway.
-
Gene ID
- 116
-
UniProt
- P18509
Target
-