Phone:
+1 877 302 8632
Fax:
+1 888 205 9894 (Toll-free)
E-Mail:
orders@antibodies-online.com

SAP130 antibody (AA 309-913)

This Rabbit Polyclonal antibody specifically detects SAP130 in WB, ELISA, IHC, IF, ICC and FACS. It exhibits reactivity toward Human, Mouse and Rat.
Catalog No. ABIN7601247
$370.00
Plus shipping costs $50.00
100 μg
Shipping to: United States
Delivery in 4 to 7 Business Days

Quick Overview for SAP130 antibody (AA 309-913) (ABIN7601247)

Target

See all SAP130 Antibodies
SAP130 (Sin3A-Associated Protein, 130kDa (SAP130))

Reactivity

  • 35
  • 17
  • 16
  • 7
  • 4
  • 3
  • 3
  • 2
  • 2
  • 2
  • 2
  • 1
  • 1
  • 1
Human, Mouse, Rat

Host

  • 34
  • 1
Rabbit

Clonality

  • 34
  • 1
Polyclonal

Conjugate

  • 23
  • 2
  • 1
  • 1
  • 1
  • 1
  • 1
  • 1
  • 1
  • 1
  • 1
  • 1
This SAP130 antibody is un-conjugated

Application

  • 24
  • 11
  • 8
  • 4
  • 4
  • 3
  • 3
  • 1
  • 1
  • 1
Western Blotting (WB), ELISA, Immunohistochemistry (IHC), Immunofluorescence (IF), Immunocytochemistry (ICC), Flow Cytometry (FACS)
  • Binding Specificity

    • 8
    • 5
    • 3
    • 2
    • 2
    • 1
    • 1
    • 1
    • 1
    • 1
    AA 309-913

    Purpose

    Anti-SAP130 Antibody

    Cross-Reactivity (Details)

    No cross-reactivity with other proteins.

    Characteristics

    Anti-S Antibody (ABIN7601247). Tested in ELISA, Flow Cytometry, IF, IHC, ICC, WB applications. This antibody reacts with Human, Mouse, Rat. This is a premium antibody that guarantees superior quality, high affinity, and strong signals with minimal background in Western blot applications.

    Purification

    Immunogen affinity purified.

    Immunogen

    E.coli-derived human SAP130 recombinant protein (Position: H309-H913).

    Isotype

    IgG
  • Application Notes

    Western blot, 0.1-0.25 μg/mL, Human
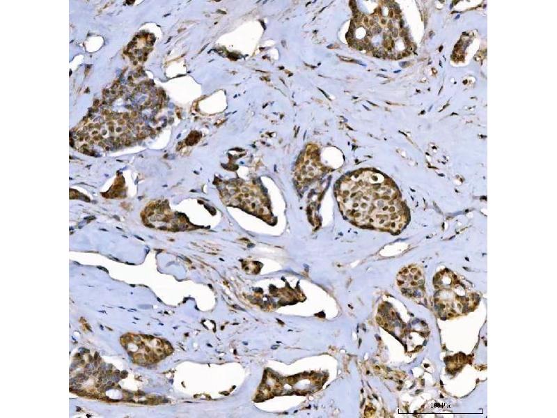
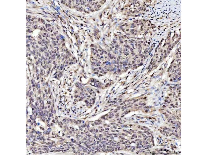
    Immunohistochemistry(Paraffin-embedded Section), 2-5 μg/mL, Human, Mouse, Rat
    Immunocytochemistry/Immunofluorescence, 5 μg/mL, Human
    Immunofluorescence, 5 μg/mL, Human
    Flow Cytometry (Fixed), 1-3 μg/1x106 cells, Human
    ELISA, 0.1-0.5 μg/mL, -

    Restrictions

    For Research Use only
  • Format

    Lyophilized

    Reconstitution

    Adding 0.2 mL of distilled water will yield a concentration of 500 μg/mL.

    Concentration

    500 μg/mL

    Buffer

    Each vial contains 4 mg Trehalose, 0.9 mg NaCl, 0.2 mg Na2HPO4.

    Storage

    4 °C,-20 °C

    Storage Comment

    At -20°C for one year from date of receipt. After reconstitution, at 4°C for one month.
    It can also be aliquotted and stored frozen at -20°C for six months. Avoid repeated freezing and thawing.
  • Target

    SAP130 (Sin3A-Associated Protein, 130kDa (SAP130))

    Alternative Name

    SAP130

    Background

    Synonyms: C-C motif chemokine 16, Chemokine CC-4, HCC-4, Chemokine LEC, IL-10-inducible chemokine, LCC-1, Liver-expressed chemokine, Lymphocyte and monocyte chemoattractant, LMC, Monotactin-1, MTN-1, NCC-4, Small-inducible cytokine A16, CCL16, ILINCK, NCC4, SCYA16

    Tissue Specificity: Mainly expressed in liver, also found in spleen and thymus. Highly expressed in LPS- and IFN-gamma- activated monocytes, weakly in some lymphocytes, including natural killer cells, gamma-delta T-cells, and some T-cell clones.

    Background: Histone deacetylase complex subunit SAP130 is an enzyme that in humans is encoded by the SAP130 gene. This gene encodes subunit 3 of the splicing factor 3b protein complex. Splicing factor 3b, together with splicing factor 3a and a 12S RNA unit, forms the U2 small nuclear ribonucleoproteins complex (U2 snRNP). The splicing factor 3b/3a complex binds pre-mRNA upstream of the intron's branch site in a sequence independent manner and may anchor the U2 snRNP to the pre-mRNA. Splicing factor 3b is also a component of the minor U12-type spliceosome. Subunit 3 has also been identified as a component of the STAGA (SPT3-TAF(II)31-GCN5L acetylase) transcription coactivator-HAT (histone acetyltransferase) complex, and the TFTC (TATA-binding-protein-free TAF(II)-containing complex). These complexes may function in chromatin modification, transcription, splicing, and DNA repair.

    Molecular Weight

    130 kDa

    Gene ID

    79595

    UniProt

    Q9H0E3
You are here:
Chat with us!