Phone:
+1 877 302 8632
Fax:
+1 888 205 9894 (Toll-free)
E-Mail:
orders@antibodies-online.com

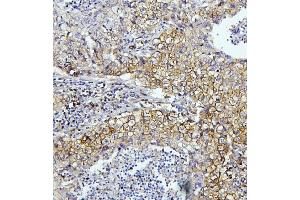
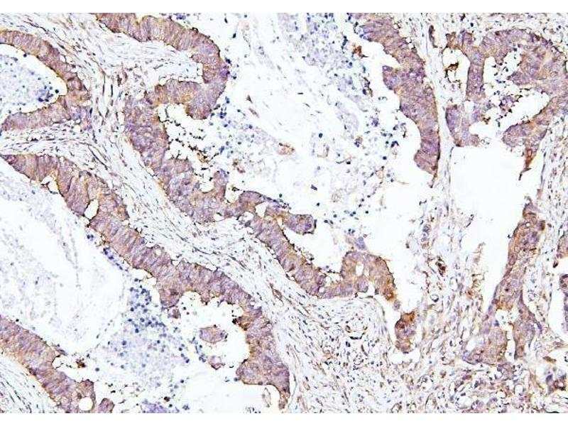
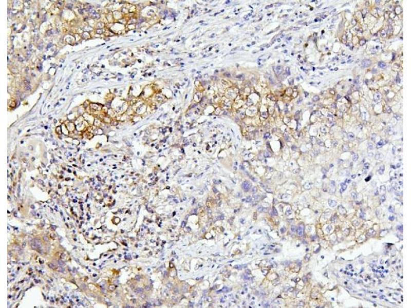
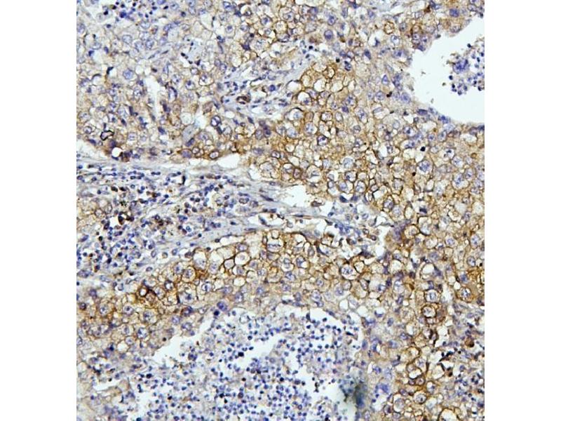
EIF4A1 antibody (AA 32-406)

The Rabbit Polyclonal anti-EIF4A1 antibody (ABIN7601309) specifically detects EIF4A1 in WB, IF, ICC, IHC, ELISA and FACS. The antibody is reactive with Human, Rat and Mouse samples.
Catalog No. ABIN7601309
$370.00
Plus shipping costs $50.00
100 μg
Shipping to: United States
Delivery in 4 to 7 Business Days

Quick Overview for EIF4A1 antibody (AA 32-406) (ABIN7601309)

Target

See all EIF4A1 Antibodies
EIF4A1 (Eukaryotic Translation Initiation Factor 4A1 (EIF4A1))

Reactivity

  • 51
  • 35
  • 35
  • 4
  • 4
  • 4
  • 4
  • 4
  • 4
  • 3
  • 2
  • 1
  • 1
  • 1
Human, Rat, Mouse

Host

  • 45
  • 6
Rabbit

Clonality

  • 31
  • 20
Polyclonal

Conjugate

  • 33
  • 2
  • 2
  • 2
  • 2
  • 2
  • 2
  • 2
  • 2
  • 2
This EIF4A1 antibody is un-conjugated

Application

  • 51
  • 33
  • 27
  • 11
  • 8
  • 7
  • 6
  • 5
  • 1
Western Blotting (WB), Immunofluorescence (IF), Immunocytochemistry (ICC), Immunohistochemistry (IHC), ELISA, Flow Cytometry (FACS)
  • Binding Specificity

    • 6
    • 3
    • 2
    • 2
    • 1
    • 1
    • 1
    • 1
    • 1
    • 1
    • 1
    AA 32-406

    Purpose

    Anti-EIF4A1/2/3 Antibody

    Cross-Reactivity (Details)

    No cross-reactivity with other proteins.

    Characteristics

    Anti-EIF4A1/2/3 Antibody (ABIN7601309). Tested in ELISA, Flow Cytometry, IF, IHC, ICC, WB applications. This antibody reacts with Human, Mouse, Rat. This is a premium antibody that guarantees superior quality, high affinity, and strong signals with minimal background in Western blot applications.

    Purification

    Immunogen affinity purified.

    Immunogen

    E.coli-derived human EIF4A1/2/3 recombinant protein (Position: D32-I406 ).

    Isotype

    IgG
  • Application Notes

    Western blot, 0.1-0.25 μg/mL, Human,Mouse, Rat
    Immunohistochemistry (Paraffin-embedded Section), 0.5-1 μg/mL, Human, Mouse, Rat
    Immunocytochemistry/Immunofluorescence, 2 μg/mL, Human
    Flow Cytometry (Fixed), 1-3 μg/1x106 cells, Human
    ELISA, 0.1-0.5 μg/mL, -

    Restrictions

    For Research Use only
  • Format

    Lyophilized

    Reconstitution

    Add 0.2 mL of distilled water will yield a concentration of 500 μg/mL.

    Concentration

    500 μg/mL

    Buffer

    Each vial contains 4 mg Trehalose, 0.9 mg NaCl, 0.2 mg Na2HPO4, 0.05 mg Sodium azide.

    Preservative

    Sodium azide

    Precaution of Use

    This product contains Sodium azide: a POISONOUS AND HAZARDOUS SUBSTANCE which should be handled by trained staff only.

    Storage

    4 °C,-20 °C

    Storage Comment

    Store at -20°C for one year from date of receipt. After reconstitution, at 4°C for one month.
    It can also be aliquotted and stored frozen at -20°C for six months. Avoid repeated freeze-thaw cycles.
  • Target

    EIF4A1 (Eukaryotic Translation Initiation Factor 4A1 (EIF4A1))

    Alternative Name

    EIF4A1

    Background

    Synonyms: Eukaryotic initiation factor 4A-I, eIF-4A-I, eIF4A-I, ATP-dependent RNA helicase eIF4A-1, EIF4A1, DDX2A, EIF4A

    Tissue Specificity: Adipocytes.

    Background: Eukaryotic initiation factor 4A-I is a protein that in humans is encoded by the EIF4A1 gene. It is mapped to 17p13.1. EIF4A1 has been shown to interact with EIF4E and eukaryotic translation initiation factor 4 gamma.

    Molecular Weight

    46 kDa

    Gene ID

    1973

    UniProt

    P60842
You are here:
Chat with us!