Phone:
+1 877 302 8632
Fax:
+1 888 205 9894 (Toll-free)
E-Mail:
orders@antibodies-online.com

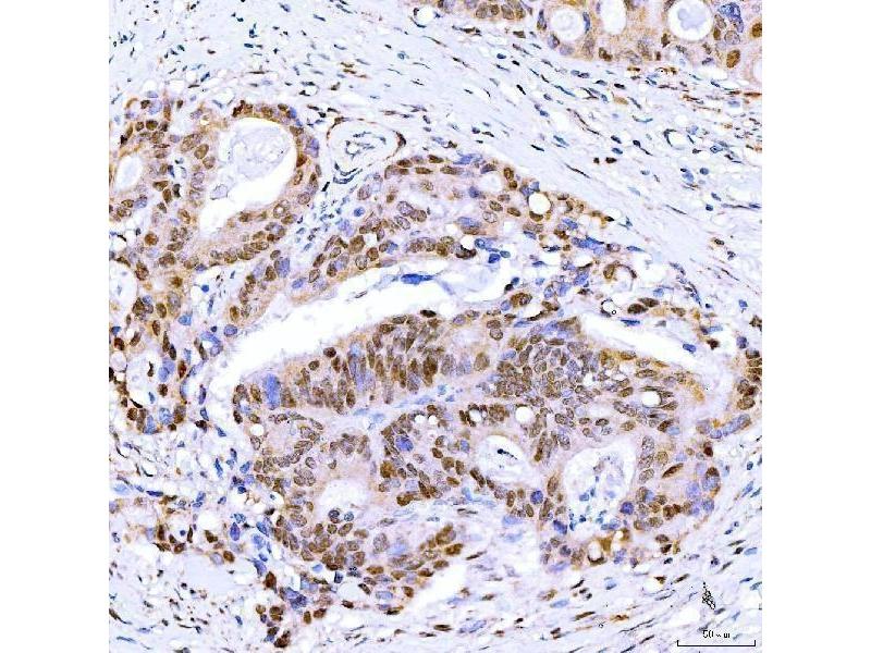
Symplekin antibody (AA 384-1092)

The Rabbit Polyclonal anti-Symplekin antibody (ABIN7601558) specifically detects Symplekin in WB, IHC, ELISA, IF, FACS and ICC. The antibody is reactive with Human and Rat samples.
Catalog No. ABIN7601558
$370.00
Plus shipping costs $50.00
100 μg
Shipping to: United States
Delivery in 4 to 7 Business Days

Quick Overview for Symplekin antibody (AA 384-1092) (ABIN7601558)

Target

See all Symplekin (SYMPK) Antibodies
Symplekin (SYMPK)

Reactivity

  • 24
  • 5
  • 5
  • 4
  • 3
  • 3
  • 3
  • 3
  • 1
  • 1
Human, Rat

Host

  • 19
  • 5
Rabbit

Clonality

  • 20
  • 4
Polyclonal

Conjugate

  • 24
This Symplekin antibody is un-conjugated

Application

  • 21
  • 10
  • 7
  • 6
  • 6
  • 3
  • 2
Western Blotting (WB), Immunohistochemistry (IHC), ELISA, Immunofluorescence (IF), Flow Cytometry (FACS), Immunocytochemistry (ICC)
  • Binding Specificity

    • 4
    • 3
    • 2
    • 2
    • 2
    • 2
    • 1
    • 1
    • 1
    • 1
    • 1
    AA 384-1092

    Purpose

    Anti-Symplekin/SYMPK Antibody

    Cross-Reactivity (Details)

    No cross-reactivity with other proteins

    Characteristics

    Anti-Symplekin/SYMPK Antibody (ABIN7601558). Tested in ELISA, Flow Cytometry, IF, IHC, ICC, WB applications. This antibody reacts with Human, Rat. This is a premium antibody that guarantees superior quality, high affinity, and strong signals with minimal background in Western blot applications.

    Purification

    Immunogen affinity purified.

    Immunogen

    E.coli-derived human Symplekin/SYMPK recombinant protein (Position: K384-N1092).

    Isotype

    IgG
  • Application Notes

    Western blot, 0.25-0.5 μg/mL, Human, Rat
    Immunohistochemistry(Paraffin-embedded Section), 2-5 μg/mL, Human, Rat
    Immunocytochemistry/Immunofluorescence, 5 μg/mL, Human
    Flow Cytometry (Fixed), 1-3 μg/1x106 cells, Human
    ELISA, 0.1-0.5 μg/mL, -

    Restrictions

    For Research Use only
  • Format

    Lyophilized

    Reconstitution

    Adding 0.2 mL of distilled water will yield a concentration of 500 μg/mL.

    Concentration

    500 μg/mL

    Buffer

    Each vial contains 4 mg Trehalose, 0.9 mg NaCl, 0.2 mg Na2HPO4.

    Storage

    4 °C,-20 °C

    Storage Comment

    At -20°C for one year from date of receipt. After reconstitution, at 4°C for one month.
    It can also be aliquotted and stored frozen at -20°C for six months. Avoid repeated freezing and thawing.
  • Target

    Symplekin (SYMPK)

    Alternative Name

    SYMPK

    Background

    Synonyms: N-alpha-acetyltransferase 15, NatA auxiliary subunit,Gastric cancer antigen Ga19,N-terminal acetyltransferase,NMDA receptor-regulated protein 1,Protein tubedown-1,Tbdn100,NAA15,GA19, NARG1, NATH, TBDN100,

    Tissue Specificity: Expressed at high levels in testis and in ocular endothelial cells. Also found in brain (corpus callosum), heart, colon, bone marrow and at lower levels in most adult tissues, including thyroid, liver, pancreas, mammary and salivary glands, lung, ovary, urogenital system and upper gastrointestinal tract. Overexpressed in gastric cancer, in papillary thyroid carcinomas and in a Burkitt lymphoma cell line (Daudi). Specifically suppressed in abnormal proliferating blood vessels in eyes of patients with proliferative diabetic retinopathy. .

    Background: Symplekin is a protein that in humans is encoded by the SYMPK gene. This gene encodes a nuclear protein that functions in the regulation of polyadenylation and promotes gene expression. The protein forms a high-molecular weight complex with components of the polyadenylation machinery. It is thought to serve as a scaffold for recruiting regulatory factors to the polyadenylation complex. It also participates in 3'-end maturation of histone mRNAs, which do not undergo polyadenylation. The protein also localizes to the cytoplasmic plaques of tight junctions in some cell types.

    Molecular Weight

    150 kDa

    Gene ID

    8189

    UniProt

    Q92797
You are here:
Chat with us!