Recombinant PKC alpha antibody
Quick Overview for Recombinant PKC alpha antibody (ABIN7606874)
Target
See all PKC alpha (PKCa) AntibodiesAntibody Type
Reactivity
Host
Clonality
Conjugate
Application
Grade
-
-
Purpose
- PKC alpha Rabbit mAb
-
Specificity
- PKC alpha Antibody detects endogenous levels of total PKC alpha
-
Purification
- Affinity-chromatography
-
Immunogen
- A synthesized peptide derived from human PKC alpha
-
Isotype
- IgG
-
-
-
-
Application Notes
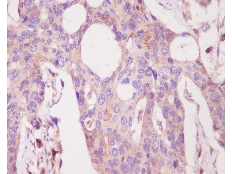
- WB 1:1000~1:2000 IHC 1:50~1:200 ICC/IF 1:50~1:200 IP 1:50 FC 1:50
-
Restrictions
- For Research Use only
-
-
-
Buffer
- phosphate buffered saline , pH 7.4, 150 mM NaCl, 0.02 % sodium azide and 50 % glycerol.
-
Preservative
- Sodium azide
-
Precaution of Use
- This product contains Sodium azide: a POISONOUS AND HAZARDOUS SUBSTANCE which should be handled by trained staff only.
-
Storage
- 4 °C,-20 °C
-
Storage Comment
- Store at +4°C short term. Store at -20°C long term. Avoid freeze / thaw cycle.
-
-
- PKC alpha (PKCa) (Protein Kinase C, alpha (PKCa))
-
Alternative Name
- PKC alpha
-
Background
- EC 2.7.11.13, KPCA, PKC III, PKC-A, PKC-III, PKC-alpha, PRKACA, PRKCA, Protein kinase C, alpha type, kinase PKC-alpha,
-
Molecular Weight
- 75kDa
-
UniProt
- P17252
-
Pathways
- WNT Signaling, TCR Signaling, EGFR Signaling Pathway, Neurotrophin Signaling Pathway, Thyroid Hormone Synthesis, cAMP Metabolic Process, Myometrial Relaxation and Contraction, Cell-Cell Junction Organization, Regulation of G-Protein Coupled Receptor Protein Signaling, G-protein mediated Events, Signaling Events mediated by VEGFR1 and VEGFR2, Interaction of EGFR with phospholipase C-gamma, Thromboxane A2 Receptor Signaling, VEGFR1 Specific Signals, VEGF Signaling
Target
-