Phone:
+1 877 302 8632
Fax:
+1 888 205 9894 (Toll-free)
E-Mail:
orders@antibodies-online.com

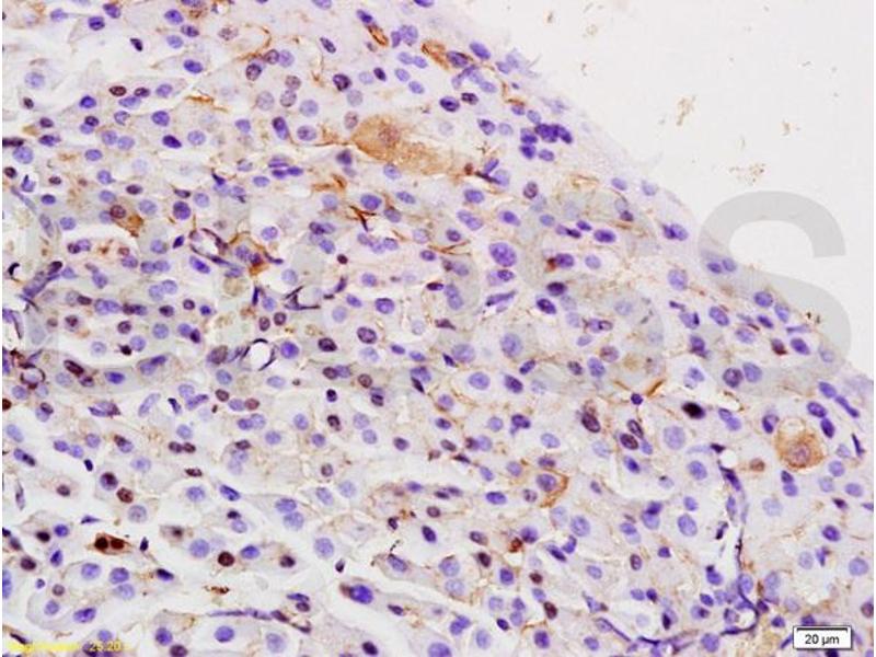
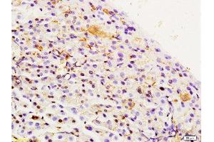
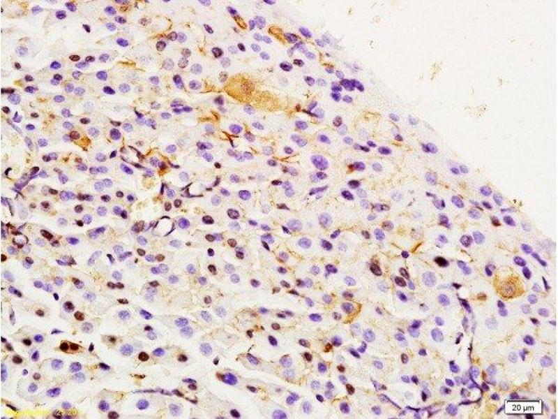
Integrin Alpha3, Beta1 (AA 976-1025) antibody

Cited in 1 publication. The Rabbit Polyclonal anti-Integrin Alpha3, Beta1 antibody (ABIN737031) specifically detects Integrin Alpha3, Beta1 in WB, FACS, IF (cc), IF (p), ELISA, IHC (fro) and IHC (p). The antibody is reactive with Human, Mouse and Rat samples.
Catalog No. ABIN737031
$384.62
Plus shipping costs $50.00
100 μL
Shipping to: United States
Delivery in 4 to 7 Business Days

Quick Overview for Integrin Alpha3, Beta1 (AA 976-1025) antibody (ABIN737031)

Target

Integrin Alpha3, Beta1

Reactivity

Human, Mouse, Rat

Host

  • 15
  • 1
Rabbit

Clonality

  • 15
  • 1
Polyclonal

Conjugate

  • 1
  • 1
  • 1
  • 1
  • 1
  • 1
  • 1
  • 1
  • 1
  • 1
  • 1
  • 1
  • 1
  • 1
  • 1
  • 1
Un-conjugated

Application

  • 15
  • 14
  • 12
  • 12
  • 3
  • 2
  • 2
  • 1
  • 1
  • 1
  • 1
Western Blotting (WB), Flow Cytometry (FACS), Immunofluorescence (Cultured Cells) (IF (cc)), Immunofluorescence (Paraffin-embedded Sections) (IF (p)), ELISA, Immunohistochemistry (Frozen Sections) (IHC (fro)), Immunohistochemistry (Paraffin-embedded Sections) (IHC (p))
  • Binding Specificity

    AA 976-1025

    Cross-Reactivity

    Human, Mouse, Rat

    Predicted Reactivity

    Dog,Cow,Sheep,Pig,Horse

    Purification

    Purified by Protein A.

    Immunogen

    Mixed KLH conjugated synthetic peptide derived from human Integrin Alpha 3(976-1025/1051) + Beta 1(35-47/798)

    Isotype

    IgG
  • Application Notes

    WB 1:300-5000
    ELISA 1:500-1000
    FCM 1:20-100
    IHC-P 1:200-400
    IHC-F 1:100-500
    IF(IHC-P) 1:50-200
    IF(IHC-F) 1:50-200
    IF(ICC) 1:50-200

    Restrictions

    For Research Use only
  • Format

    Liquid

    Concentration

    1 μg/μL

    Buffer

    0.01M TBS( pH 7.4) with 1 % BSA, 0.02 % Proclin300 and 50 % Glycerol.

    Preservative

    ProClin

    Precaution of Use

    This product contains ProClin: a POISONOUS AND HAZARDOUS SUBSTANCE, which should be handled by trained staff only.

    Storage

    4 °C,-20 °C

    Storage Comment

    Shipped at 4°C. Store at -20°C for one year. Avoid repeated freeze/thaw cycles.

    Expiry Date

    12 months
  • Wang, Zhang, Song, Wang, Guo, Zhang, Li, Han, Miao, Li: "PAK1 regulates RUFY3-mediated gastric cancer cell migration and invasion." in: Cell death & disease, Vol. 6, pp. e1682, (2015) (PubMed).

  • Target

    Integrin Alpha3, Beta1

    Alternative Name

    Integrin Alpha 3 + Beta 1

    Background

    Synonyms: Integrin Alpha 3 / Beta 1, Integrin VLA 4 beta subunit, Alpha 3 subunit of VLA 3 receptor, CD29, CD49C, Fibronectin receptor, Fibronectin receptor beta subunit, Galactoprotein B3, GAPB3, VL3A, VLA 3 alpha chain, VLA3a.

    Background: alpha3beta1 integrin is a laminin receptor with apparently diverse functions. In epithelial cells it acts as a receptor for the basement membrane, whereas in neuronal and possibly tumor cells it mediates migration. Interactions of alpha3beta1 integrin with tetraspanin proteins may provide clues to how it transduces signals that affect cell behavior.

    Gene ID

    3675, 3688

    UniProt

    P26006, P05556
You are here:
Chat with us!