×
For best experience we recommend to activate Javascript in your browser.
APOH antibody
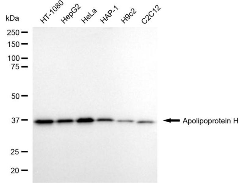
The Mouse Monoclonal anti-APOH antibody (Clone 24GB8015) (ABIN7797631) specifically detects APOH in WB and FACS.
The antibody is reactive with Human samples.
Catalog No. ABIN7797631
$394.31
Plus shipping costs $50.00
Delivery in 3 to 5 Business Days
Quick Overview for APOH antibody (ABIN7797631)
Target
See all APOH Antibodies
APOH
(Apolipoprotein H (Beta-2-Glycoprotein I) (APOH))
Reactivity
All reactivities for APOH antibodies
Human
Host
All hosts for APOH antibodies
Mouse
Clonality
All clonalities for APOH antibodies
Monoclonal
Conjugate
All conjugates for APOH antibodies
This APOH antibody is un-conjugated
Application
All applications for APOH antibodies
Western Blotting (WB), Flow Cytometry (FACS)
Clone
24GB8015
Product Details anti-APOH Antibody
(hide)
Purpose
APOH Mouse mAb
Cross-Reactivity
Mouse, Rat
Purification
Affinity Purified
Immunogen
Recombinant protein of human APOH
Isotype
IgG1
Alternatives
(show)
Application Details
(hide)
Application Notes
Western Blotting (WB): 1:2,500-1:5,000, Flow Cytometry (FCM): 1:1,000
Restrictions
For Research Use only
Handling
(hide)
Format
Liquid
Buffer
PBS (pH 7.4) containing 50% glycerol and 0.02% sodium azide.
Preservative
Sodium azide
Precaution of Use
This product contains Sodium azide: a POISONOUS AND HAZARDOUS SUBSTANCE which should be handled by trained staff only.
Storage
-20 °C
Storage Comment
Store at -20 °C for one year.
Expiry Date
12 months
Target Details for APOH
(hide)
Target
APOH
(Apolipoprotein H (Beta-2-Glycoprotein I) (APOH))
Alternative Name
APOH
Molecular Weight
38 kDa
Gene ID
350
UniProt
P02749
Recently viewed
(hide)
You are here:
Homepage
anti-APOH antibody (ABIN7797631)
Chat with us , powered by LiveChat