Phone:
+1 877 302 8632
Fax:
+1 888 205 9894 (Toll-free)
E-Mail:
orders@antibodies-online.com

Recombinant Caspase 3 p12 antibody

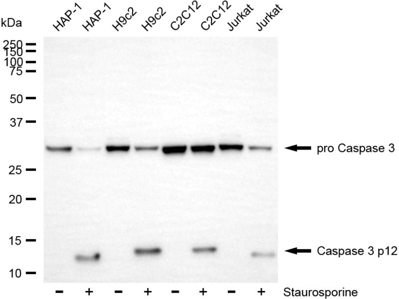
This Rabbit Monoclonal antibody specifically detects Caspase 3 p12 in WB, FACS and IF (p). It exhibits reactivity toward Human.
Catalog No. ABIN7797896
$598.92
Plus shipping costs $50.00
100 μL
Shipping to: United States
Delivery in 3 to 5 Business Days

Quick Overview for Recombinant Caspase 3 p12 antibody (ABIN7797896)

Target

Caspase 3 p12

Antibody Type

Recombinant Antibody

Reactivity

  • 13
  • 10
  • 10
Human

Host

  • 13
Rabbit

Clonality

  • 10
  • 3
Monoclonal

Conjugate

  • 4
  • 1
  • 1
  • 1
  • 1
  • 1
  • 1
  • 1
  • 1
  • 1
Un-conjugated

Application

  • 13
  • 13
  • 11
  • 10
  • 2
  • 2
  • 1
Western Blotting (WB), Flow Cytometry (FACS), Immunofluorescence (Paraffin-embedded Sections) (IF (p))

Grade

KD Validated

Clone

23GB3310
  • Expression System

    HEK-293 Cells

    Purpose

    KD-Validated Caspase 3 p12 Recombinant Rabbit mAb

    Cross-Reactivity

    Mouse, Rat

    Purification

    Affinity Purified

    Immunogen

    A synthesized peptide derived from human Caspase-3 p12

    Isotype

    IgG
  • Application Notes

    Western Blotting (WB): 1:1,000-1:5,000, Flow Cytometry (FCM): 1:200-1:2,000, Immunohistochemistry-Paraffin (IHC-P): 1:100-1:200

    Comment

    We assess the antibodies’ specificity and selectivity using knockdown techniques. Our validation approach is straightforward: if an antibody identifies a signal in wild-type (WT) cells, but this signal is absent or noticeably reduced in gene-silenced (KD) cells, we consider the antibody to be highly specific.

    Restrictions

    For Research Use only
  • Format

    Liquid

    Buffer

    PBS (pH 7.4) containing 50% glycerol and 0.02% sodium azide.

    Preservative

    Sodium azide

    Precaution of Use

    This product contains Sodium azide: a POISONOUS AND HAZARDOUS SUBSTANCE which should be handled by trained staff only.

    Storage

    -20 °C

    Storage Comment

    Store at -20 °C for one year.

    Expiry Date

    12 months
  • Target

    Caspase 3 p12

    Molecular Weight

    32 kDa

    Gene ID

    836

    UniProt

    P42574
You are here:
Chat with us!