CTNNB1 antibody
Quick Overview for CTNNB1 antibody (ABIN7797926)
Target
See all CTNNB1 AntibodiesReactivity
Host
Clonality
Conjugate
Application
Grade
Clone
-
-
Purpose
- KO-Validated Catenin Beta 1 Mouse mAb
-
Cross-Reactivity
- Mouse, Rat
-
Purification
- Affinity Purified
-
Immunogen
- Recombinant protein of human CTNNB1
-
Isotype
- IgG2a
-
-
-
-
Application Notes
- Western Blotting (WB): 1:1,000-1:5,000, Flow Cytometry (FCM): 1:200-1:2,000, Immunohistochemistry-Paraffin (IHC-P): 1:100-1:200
-
Restrictions
- For Research Use only
-
-
-
Format
- Liquid
-
Buffer
- PBS (pH 7.4) containing 50% glycerol and 0.02% sodium azide.
-
Preservative
- Sodium azide
-
Precaution of Use
- This product contains Sodium azide: a POISONOUS AND HAZARDOUS SUBSTANCE which should be handled by trained staff only.
-
Storage
- -20 °C
-
Storage Comment
- Store at -20 °C for one year.
-
Expiry Date
- 12 months
-
-
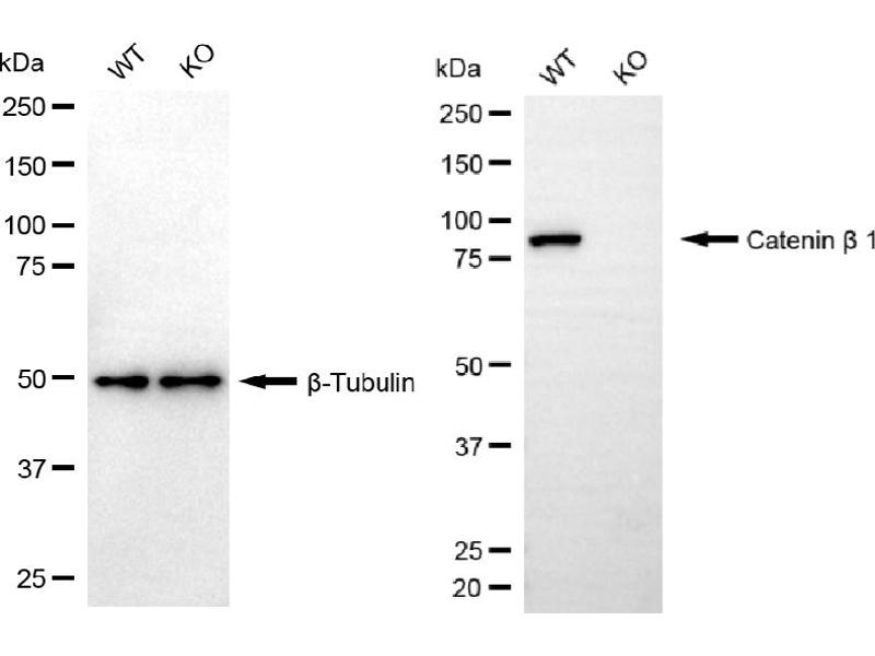
- CTNNB1 (Catenin (Cadherin-Associated Protein), beta 1, 88kDa (CTNNB1))
-
Alternative Name
- Catenin Beta 1
-
Molecular Weight
- 85 kDa
-
Gene ID
- 1499
-
UniProt
- P35222
-
Pathways
- WNT Signaling, Intracellular Steroid Hormone Receptor Signaling Pathway, Peptide Hormone Metabolism, Regulation of Muscle Cell Differentiation, Cell-Cell Junction Organization, Tube Formation, Maintenance of Protein Location, Signaling Events mediated by VEGFR1 and VEGFR2
Target
-