Recombinant CD86 antibody
Quick Overview for Recombinant CD86 antibody (ABIN7797986)
Target
See all CD86 AntibodiesAntibody Type
Reactivity
Host
Clonality
Conjugate
Application
Clone
-
-
Expression System
- HEK-293 Cells
-
Purpose
- CD86 Molecule Recombinant Rabbit mAb
-
Cross-Reactivity
- Mouse, Rat
-
Purification
- Affinity Purified
-
Immunogen
- A synthesized peptide derived from human CD86
-
Isotype
- IgG
-
-
-
-
Application Notes
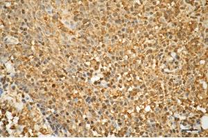
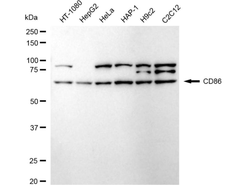
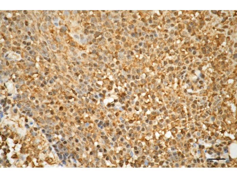
- Western Blotting (WB): 1:1,000-1:5,000, Flow Cytometry (FCM): 1:200-1:2,000, Immunohistochemistry-Paraffin (IHC-P): 1:50-1:100
-
Restrictions
- For Research Use only
-
-
-
Format
- Liquid
-
Buffer
- PBS (pH 7.4) containing 50% glycerol and 0.02% sodium azide.
-
Preservative
- Sodium azide
-
Precaution of Use
- This product contains Sodium azide: a POISONOUS AND HAZARDOUS SUBSTANCE which should be handled by trained staff only.
-
Storage
- -20 °C
-
Storage Comment
- Store at -20 °C for one year.
-
Expiry Date
- 12 months
-
-
- CD86
-
Alternative Name
- CD86 Molecule
-
Molecular Weight
- 38 kDa
-
Gene ID
- 942
-
UniProt
- P42081
-
Pathways
- TCR Signaling, Fc-epsilon Receptor Signaling Pathway, EGFR Signaling Pathway, Neurotrophin Signaling Pathway, Activation of Innate immune Response, Cellular Response to Molecule of Bacterial Origin, Positive Regulation of Immune Effector Process, Activated T Cell Proliferation
Target
-