C7orf50 antibody
Quick Overview for C7orf50 antibody (ABIN7798083)
Target
Reactivity
Host
Clonality
Conjugate
Application
Grade
Clone
-
-
Purpose
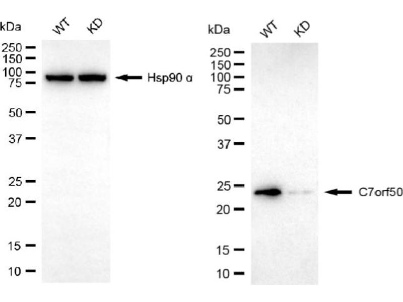
- KD-Validated C7orf50 Mouse mAb
-
Purification
- Affinity Purified
-
Immunogen
- Recombinant protein of human C7orf50
-
Isotype
- IgG2a
-
-
-
-
Application Notes
- Western Blotting (WB): 1:400-1:2,000
-
Comment
-
We assess the antibodies’ specificity and selectivity using knockdown techniques. Our validation approach is straightforward: if an antibody identifies a signal in wild-type (WT) cells, but this signal is absent or noticeably reduced in gene-silenced (KD) cells, we consider the antibody to be highly specific.
-
Restrictions
- For Research Use only
-
-
-
Format
- Liquid
-
Buffer
- PBS (pH 7.4) containing 50% glycerol and 0.02% sodium azide.
-
Preservative
- Sodium azide
-
Precaution of Use
- This product contains Sodium azide: a POISONOUS AND HAZARDOUS SUBSTANCE which should be handled by trained staff only.
-
Storage
- -20 °C
-
Storage Comment
- Store at -20 °C for one year.
-
Expiry Date
- 12 months
-
-
- C7orf50 (Chromosome 7 Open Reading Frame 50 (C7orf50))
-
Alternative Name
- C7orf50
-
Molecular Weight
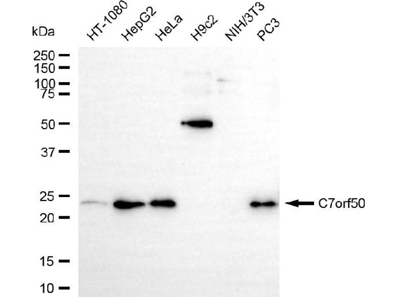
- 22 kDa
-
Gene ID
- 84310
-
UniProt
- Q9BRJ6
Target
-