COX6C antibody
Quick Overview for COX6C antibody (ABIN7798249)
Target
See all COX6C AntibodiesReactivity
Host
Clonality
Conjugate
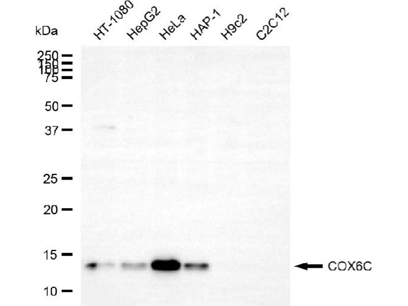
Application
Grade
Clone
-
-
Purpose
- KD-Validated COX6C Mouse mAb
-
Purification
- Affinity Purified
-
Immunogen
- Recombinant protein of human COX6C
-
Isotype
- IgG1
-
-
-
-
Application Notes
- Western Blotting (WB): 1:400-1:2,000, Flow Cytometry (FCM): 1:200-1:2,000
-
Comment
-
We assess the antibodies’ specificity and selectivity using knockdown techniques. Our validation approach is straightforward: if an antibody identifies a signal in wild-type (WT) cells, but this signal is absent or noticeably reduced in gene-silenced (KD) cells, we consider the antibody to be highly specific.
-
Restrictions
- For Research Use only
-
-
-
Format
- Liquid
-
Buffer
- PBS (pH 7.4) containing 50% glycerol and 0.02% sodium azide.
-
Preservative
- Sodium azide
-
Precaution of Use
- This product contains Sodium azide: a POISONOUS AND HAZARDOUS SUBSTANCE which should be handled by trained staff only.
-
Storage
- -20 °C
-
Storage Comment
- Store at -20 °C for one year.
-
Expiry Date
- 12 months
-
-
- COX6C (Cytochrome C Oxidase Subunit VIc (COX6C))
-
Alternative Name
- COX6C
-
Molecular Weight
- 9 kDa
-
Gene ID
- 1345
-
UniProt
- P09669
-
Pathways
- Proton Transport
Target
-