Recombinant Geminin antibody
Quick Overview for Recombinant Geminin antibody (ABIN7798705)
Target
See all Geminin (GMNN) AntibodiesAntibody Type
Reactivity
Host
Clonality
Conjugate
Application
Grade
Clone
-
-
Expression System
- HEK-293 Cells
-
Purpose
- KD-Validated Geminin DNA Replication Inhibitor Recombinant Rabbit mAb
-
Cross-Reactivity
- Mouse, Rat
-
Purification
- Affinity Purified
-
Immunogen
- Recombinant protein of human Geminin
-
Isotype
- IgG
-
-
-
-
Application Notes
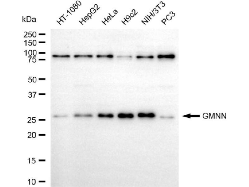
- Western blotting (WB): 1:1,000-1:5,000
-
Comment
-
We assess the antibodies’ specificity and selectivity using knockdown techniques. Our validation approach is straightforward: if an antibody identifies a signal in wild-type (WT) cells, but this signal is absent or noticeably reduced in gene-silenced (KD) cells, we consider the antibody to be highly specific.
-
Restrictions
- For Research Use only
-
-
-
Format
- Liquid
-
Buffer
- PBS (pH 7.4) containing 50% glycerol and 0.02% sodium azide.
-
Preservative
- Sodium azide
-
Precaution of Use
- This product contains Sodium azide: a POISONOUS AND HAZARDOUS SUBSTANCE which should be handled by trained staff only.
-
Storage
- -20 °C
-
Storage Comment
- Store at -20 °C for one year.
-
Expiry Date
- 12 months
-
-
- Geminin (GMNN) (Geminin, DNA Replication Inhibitor (GMNN))
-
Alternative Name
- Geminin DNA Replication Inhibitor
-
Molecular Weight
- 24 kDa
-
Gene ID
- 51053
-
UniProt
- O75496
-
Pathways
- EGFR Signaling Pathway, DNA Replication
Target
-