Phone:
+1 877 302 8632
Fax:
+1 888 205 9894 (Toll-free)
E-Mail:
orders@antibodies-online.com

Recombinant Histone H1 antibody

The Rabbit Monoclonal anti-Histone H1 antibody (Clone 23GB1965) (ABIN7798825) specifically detects Histone H1 in WB. The antibody is reactive with Human samples.
Catalog No. ABIN7798825
$598.92
Plus shipping costs $50.00
100 μL
Shipping to: United States
Delivery in 3 to 5 Business Days

Quick Overview for Recombinant Histone H1 antibody (ABIN7798825)

Target

See all Histone H1 (H1F0) Antibodies
Histone H1 (H1F0) (H1 Histone Family, Member 0 (H1F0))

Antibody Type

Recombinant Antibody

Reactivity

  • 71
  • 43
  • 41
  • 2
  • 2
  • 2
  • 1
  • 1
  • 1
  • 1
  • 1
Human

Host

  • 65
  • 6
Rabbit

Clonality

  • 36
  • 35
Monoclonal

Conjugate

  • 39
  • 4
  • 4
  • 4
  • 4
  • 4
  • 4
  • 4
  • 2
  • 2
This Histone H1 antibody is un-conjugated

Application

  • 43
  • 34
  • 24
  • 21
  • 17
  • 7
  • 4
  • 4
  • 2
  • 1
  • 1
Western Blotting (WB)

Grade

KD Validated

Clone

23GB1965
  • Expression System

    HEK-293 Cells

    Purpose

    KD-Validated Histone H1.0 Recombinant Rabbit mAb

    Cross-Reactivity

    Mouse, Rat

    Purification

    Affinity Purified

    Immunogen

    A synthesized peptide derived from human Histone H1.0

    Isotype

    IgG
  • Application Notes

    Western Blotting (WB): 1:1,000-1:5,000

    Comment

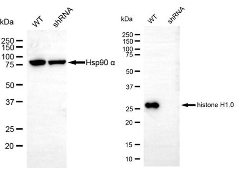
    We assess the antibodies’ specificity and selectivity using knockdown techniques. Our validation approach is straightforward: if an antibody identifies a signal in wild-type (WT) cells, but this signal is absent or noticeably reduced in gene-silenced (KD) cells, we consider the antibody to be highly specific.

    Restrictions

    For Research Use only
  • Format

    Liquid

    Buffer

    PBS (pH 7.4) containing 50% glycerol and 0.02% sodium azide.

    Preservative

    Sodium azide

    Precaution of Use

    This product contains Sodium azide: a POISONOUS AND HAZARDOUS SUBSTANCE which should be handled by trained staff only.

    Storage

    -20 °C

    Storage Comment

    Store at -20 °C for one year.

    Expiry Date

    12 months
  • Target

    Histone H1 (H1F0) (H1 Histone Family, Member 0 (H1F0))

    Alternative Name

    Histone H1.0

    Molecular Weight

    21 kDa

    Gene ID

    3005

    UniProt

    P07305
You are here:
Chat with us!