Phone:
+1 877 302 8632
Fax:
+1 888 205 9894 (Toll-free)
E-Mail:
orders@antibodies-online.com

Recombinant HDAC10 antibody

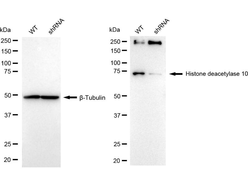
The Rabbit Monoclonal anti-HDAC10 antibody is suitable to detect HDAC10 in samples from Human. It has been validated for WB and FACS.
Catalog No. ABIN7798926
$598.92
Plus shipping costs $50.00
100 μL
Shipping to: United States
Delivery in 3 to 5 Business Days

Quick Overview for Recombinant HDAC10 antibody (ABIN7798926)

Target

See all HDAC10 Antibodies
HDAC10 (Histone Deacetylase 10 (HDAC10))

Antibody Type

Recombinant Antibody

Reactivity

  • 77
  • 41
  • 23
  • 4
Human

Host

  • 67
  • 10
Rabbit

Clonality

  • 51
  • 26
Monoclonal

Conjugate

  • 36
  • 6
  • 4
  • 4
  • 2
  • 2
  • 2
  • 2
  • 2
  • 2
  • 1
  • 1
  • 1
  • 1
  • 1
  • 1
  • 1
  • 1
  • 1
  • 1
  • 1
  • 1
  • 1
  • 1
  • 1
This HDAC10 antibody is un-conjugated

Application

  • 46
  • 29
  • 21
  • 18
  • 13
  • 13
  • 13
  • 11
  • 6
  • 4
  • 3
  • 2
  • 1
  • 1
Western Blotting (WB), Flow Cytometry (FACS)

Grade

KD Validated

Clone

24GB6050
  • Expression System

    HEK-293 Cells

    Purpose

    KD-Validated Histone deacetylase 10 Recombinant Rabbit mAb

    Cross-Reactivity

    Mouse, Rat

    Purification

    Affinity Purified

    Immunogen

    A synthesized peptide derived from human HDAC10

    Isotype

    IgG
  • Application Notes

    Western Blotting (WB): 1:1,000-1:5,000, Flow Cytometry (FCM): 1:200-1:2,000

    Comment

    We assess the antibodies’ specificity and selectivity using knockdown techniques. Our validation approach is straightforward: if an antibody identifies a signal in wild-type (WT) cells, but this signal is absent or noticeably reduced in gene-silenced (KD) cells, we consider the antibody to be highly specific.

    Restrictions

    For Research Use only
  • Format

    Liquid

    Buffer

    PBS (pH 7.4) containing 50% glycerol and 0.02% sodium azide.

    Preservative

    Sodium azide

    Precaution of Use

    This product contains Sodium azide: a POISONOUS AND HAZARDOUS SUBSTANCE which should be handled by trained staff only.

    Storage

    -20 °C

    Storage Comment

    Store at -20 °C for one year.

    Expiry Date

    12 months
  • Target

    HDAC10 (Histone Deacetylase 10 (HDAC10))

    Alternative Name

    Histone deacetylase 10

    Molecular Weight

    71 kDa

    Gene ID

    83933

    UniProt

    Q969S8
You are here:
Chat with us!