Phone:
+1 877 302 8632
Fax:
+1 888 205 9894 (Toll-free)
E-Mail:
orders@antibodies-online.com

Recombinant KIF2C antibody

The Rabbit Monoclonal anti-KIF2C antibody (Clone 24GB4930) (ABIN7799206) specifically detects KIF2C in WB and FACS. The antibody is reactive with Human samples.
Catalog No. ABIN7799206
$598.92
Plus shipping costs $50.00
100 μL
Shipping to: United States
Delivery in 3 to 5 Business Days

Quick Overview for Recombinant KIF2C antibody (ABIN7799206)

Target

See all KIF2C Antibodies
KIF2C (Kinesin Family Member 2C (KIF2C))

Antibody Type

Recombinant Antibody

Reactivity

  • 55
  • 22
  • 10
  • 4
  • 4
  • 3
  • 3
  • 2
  • 2
  • 1
Human

Host

  • 57
  • 4
Rabbit

Clonality

  • 46
  • 15
Monoclonal

Conjugate

  • 47
  • 2
  • 1
  • 1
  • 1
  • 1
  • 1
  • 1
  • 1
  • 1
  • 1
  • 1
  • 1
  • 1
This KIF2C antibody is un-conjugated

Application

  • 47
  • 28
  • 21
  • 14
  • 14
  • 13
  • 10
  • 5
  • 2
  • 1
  • 1
  • 1
Western Blotting (WB), Flow Cytometry (FACS)

Grade

KD Validated

Clone

24GB4930
  • Expression System

    HEK-293 Cells

    Purpose

    KD-Validated Kinesin Family Member 2C Recombinant Rabbit mAb

    Purification

    Affinity Purified

    Immunogen

    A synthesized peptide derived from human MCAK

    Isotype

    IgG
  • Application Notes

    Western Blotting (WB): 1:1,000-1:5,000, Flow Cytometry (FCM): 1:200-1:2,000

    Comment

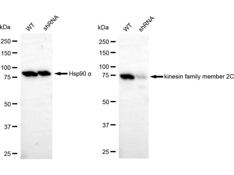
    We assess the antibodies’ specificity and selectivity using knockdown techniques. Our validation approach is straightforward: if an antibody identifies a signal in wild-type (WT) cells, but this signal is absent or noticeably reduced in gene-silenced (KD) cells, we consider the antibody to be highly specific.

    Restrictions

    For Research Use only
  • Format

    Liquid

    Buffer

    PBS (pH 7.4) containing 50% glycerol and 0.02% sodium azide.

    Preservative

    Sodium azide

    Precaution of Use

    This product contains Sodium azide: a POISONOUS AND HAZARDOUS SUBSTANCE which should be handled by trained staff only.

    Storage

    -20 °C

    Storage Comment

    Store at -20 °C for one year.

    Expiry Date

    12 months
  • Target

    KIF2C (Kinesin Family Member 2C (KIF2C))

    Alternative Name

    Kinesin Family Member 2C

    Molecular Weight

    81 kDa

    Gene ID

    11004

    UniProt

    Q99661

    Pathways

    Microtubule Dynamics
You are here:
Chat with us!