TRIM7 antibody
Quick Overview for TRIM7 antibody (ABIN7800643)
Target
See all TRIM7 AntibodiesReactivity
Host
Clonality
Conjugate
Application
Grade
Clone
-
-
Purpose
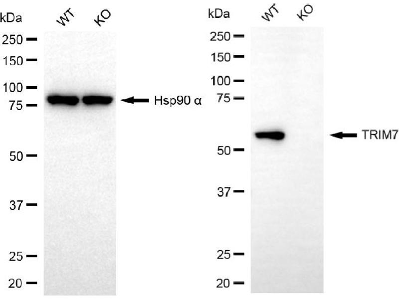
- KO-Validated TRIM7 Mouse mAb
-
Cross-Reactivity
- Mouse, Rat
-
Purification
- Affinity Purified
-
Immunogen
- Recombinant protein of human TRIM7
-
Isotype
- IgG1
-
-
-
-
Application Notes
- Western Blotting (WB): 1:400-1:2,000, Flow Cytometry (FCM): 1:200-1:2,000, Immunohistochemistry-Paraffin (IHC-P): 1:100-1:200
-
Restrictions
- For Research Use only
-
-
-
Format
- Liquid
-
Buffer
- PBS (pH 7.4) containing 50% glycerol and 0.02% sodium azide.
-
Preservative
- Sodium azide
-
Precaution of Use
- This product contains Sodium azide: a POISONOUS AND HAZARDOUS SUBSTANCE which should be handled by trained staff only.
-
Storage
- -20 °C
-
Storage Comment
- Store at -20 °C for one year.
-
Expiry Date
- 12 months
-
-
- TRIM7 (Tripartite Motif Containing 7 (TRIM7))
-
Alternative Name
- TRIM7
-
Molecular Weight
- 57 kDa
-
Gene ID
- 81786
-
UniProt
- Q9C029
Target
-