Recombinant ube3a antibody
Quick Overview for Recombinant ube3a antibody (ABIN7800723)
Target
See all ube3a AntibodiesAntibody Type
Reactivity
Host
Clonality
Conjugate
Application
Clone
-
-
Expression System
- HEK-293 Cells
-
Purpose
- UBE3A Recombinant Rabbit mAb
-
Cross-Reactivity
- Mouse, Rat
-
Purification
- Affinity Purified
-
Immunogen
- Recombinant protein of human UBE3A
-
Isotype
- IgG
-
-
-
-
Application Notes
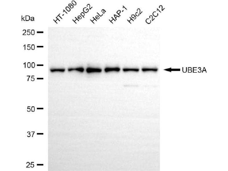
- Western Blotting (WB): 1:1,000-1:5,000, Flow Cytometry (FCM): 1:200-1:2,000
-
Restrictions
- For Research Use only
-
-
-
Format
- Liquid
-
Buffer
- PBS (pH 7.4) containing 50% glycerol and 0.02% sodium azide.
-
Preservative
- Sodium azide
-
Precaution of Use
- This product contains Sodium azide: a POISONOUS AND HAZARDOUS SUBSTANCE which should be handled by trained staff only.
-
Storage
- -20 °C
-
Storage Comment
- Store at -20 °C for one year.
-
Expiry Date
- 12 months
-
-
- ube3a (Ubiquitin Protein Ligase E3A (ube3a))
-
Alternative Name
- UBE3A
-
Molecular Weight
- 101 kDa
-
Gene ID
- 7337
-
UniProt
- Q05086
-
Pathways
- Intracellular Steroid Hormone Receptor Signaling Pathway
Target
-