NCR3 antibody (AA 81-180)
Quick Overview for NCR3 antibody (AA 81-180) (ABIN739980)
Target
See all NCR3 AntibodiesReactivity
Host
Clonality
Conjugate
Application
-
-
Binding Specificity
- AA 81-180
-
Cross-Reactivity
- Human
-
Predicted Reactivity
- Rat,Dog,Horse,Rabbit
-
Purification
- Purified by Protein A.
-
Immunogen
- KLH conjugated synthetic peptide derived from human NCR3
-
Isotype
- IgG
-
-
-
-
Application Notes
-
ELISA 1:500-1000
FCM 1:20-100
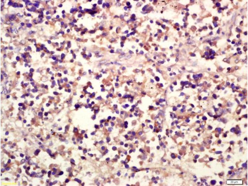
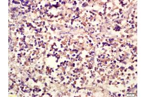
IHC-P 1:200-400 -
Restrictions
- For Research Use only
-
-
-
Format
- Liquid
-
Concentration
- 1 μg/μL
-
Buffer
- 0.01M TBS( pH 7.4) with 1 % BSA, 0.02 % Proclin300 and 50 % Glycerol.
-
Preservative
- ProClin
-
Precaution of Use
- This product contains ProClin: a POISONOUS AND HAZARDOUS SUBSTANCE, which should be handled by trained staff only.
-
Storage
- 4 °C,-20 °C
-
Storage Comment
- Shipped at 4°C. Store at -20°C for one year. Avoid repeated freeze/thaw cycles.
-
Expiry Date
- 12 months
-
-
- NCR3 (Natural Cytotoxicity Triggering Receptor 3 (NCR3))
-
Alternative Name
- NCR3
-
Background
-
Synonyms: 1C7, MALS, CD337, LY117, NKp30, Natural cytotoxicity triggering receptor 3, Activating natural killer receptor p30, Natural killer cell p30-related protein, NK-p30, NCR3
Background: Cytotoxicity-activating receptor that contributes to the increased efficiency of activated natural killer (NK) cells to mediate tumor cell lysis. Engagement of NCR3 by BAG6 also promotes dendritic cell (DC) maturation, both through killing those DCs that did not properly acquire a mature phenotype, and inducing NK cells to release TNFA and IFNG, which promotes DC maturation.
-
Gene ID
- 259197
-
UniProt
- O14931
-
Pathways
- Regulation of Leukocyte Mediated Immunity, Positive Regulation of Immune Effector Process
Target
-