Recombinant SLC45A3 antibody (N-Term)
Quick Overview for Recombinant SLC45A3 antibody (N-Term) (ABIN7826141)
Target
Antibody Type
Reactivity
Host
Clonality
Conjugate
Application
Clone
-
-
Binding Specificity
- N-Term
-
Purpose
- Prostein antibody (460R)
-
Immunogen
- Synthesized peptides to the N terminus of human SLC45A3 protein
-
Isotype
- IgG
-
-
-
-
Application Notes
- IHC 1:100-1:200
-
Comment
-
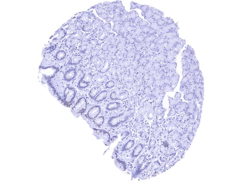
Positive Control: Stomach mucosa: At least a moderate, granular, cytoplasmic prostein positivity should be seen in surface epithelial cells.
Product Description/Background: Prostein antibody validated for immunohistochemistry on 76 different Normal Tissues
Negative Control: Stomach mucosa: Prostein immunostaining should be absent in gastric glands.
-
Protocol
- Freshly cut sections should be used (less than 10 days between cutting and staining). Heat-induced antigen retrieval for 5 minutes in an autoclave at 121 °C in pH 7,8 Target Retrieval Solution buffer. Apply the antibody at a dilution of 1:50 at 37 °C for 60 minutes.
-
Restrictions
- For Research Use only
-
-
-
Format
- Liquid
-
Storage
- 4 °C,-20 °C,-80 °C
-
Storage Comment
- Antibody with azide - store at 2 to 8 C. Antibody without azide - store at -20 to -80 C. Antibody is stable for 24 months. Non- hazardous. No MSD required.
-
Expiry Date
- 24 months
-
-
- SLC45A3 (Solute Carrier Family 45, Member 3 (SLC45A3))
-
Alternative Name
- Prostein
-
Background
- Gene Alias: SLC45A3, PCANAP6, Prostate Cancer Associated Protein 6, IPCA-6
-
UniProt
- Q96JT2
Target
-