Ly6g antibody
Quick Overview for Ly6g antibody (ABIN742305)
Target
Reactivity
Host
Clonality
Conjugate
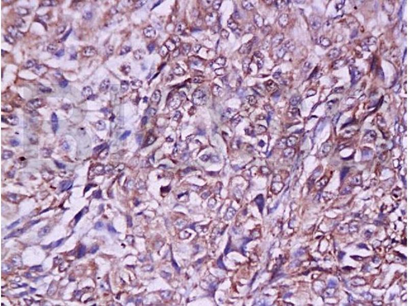
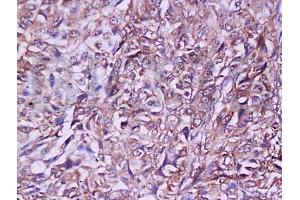
Application
-
-
Cross-Reactivity
- Mouse
-
Purification
- Purified by Protein A.
-
Immunogen
- KLH conjugated synthetic peptide derived from mouse Ly-6G/Gr-1
-
Isotype
- IgG
-
-
-
-
Application Notes
- WB(1:100-1000), IHC-P(1:100-500), IF(IHC-P)(1:50-200)
-
Restrictions
- For Research Use only
-
-
-
Format
- Liquid
-
Concentration
- 1 μg/μL
-
Buffer
- Aqueous buffered solution containing 1 % BSA, 50 % glycerol and 0.09 % sodium azide.
-
Preservative
- Sodium azide
-
Precaution of Use
- This product contains Sodium azide: a POISONOUS AND HAZARDOUS SUBSTANCE which should be handled by trained staff only.
-
Storage
- -20 °C
-
Storage Comment
- Store at -20°C for 12 months.
-
Expiry Date
- 12 months
-
-
- Ly6g (Lymphocyte Antigen 6 Complex, Locus G (Ly6g))
-
Alternative Name
- Ly-6g
-
Background
-
Synonyms: Gr1, Ly6G, lymphocyte antigen 6 complex locus G, Lymphocyte antigen 6G.
Background: Ly6G is a GPI-anchored protein, that is also known as the myeloid differentiation antigen Gr1. The antigen is transiently expressed on monocytes in the bone marrow. The level of antigen expression in the bone marrow directly correlates with granulocyte differentiation and maturation. Ly6G is expressed predominantly on neutrophils, also in a subset of eosinophils, differentiating pre-monocytes, and plasmacytoid dendritic cells.
-
Gene ID
- 70274
Target
-