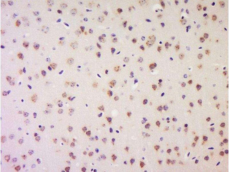
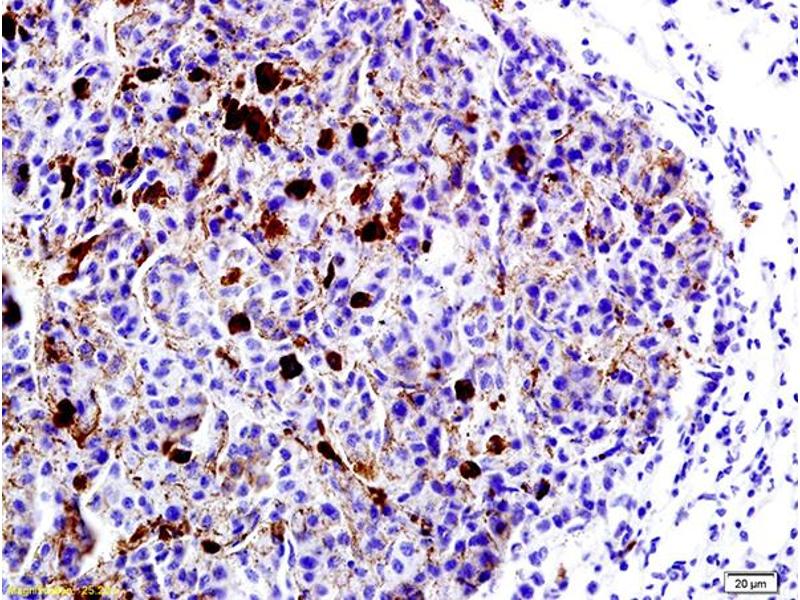
LRP1 antibody (AA 4451-4545)
Quick Overview for LRP1 antibody (AA 4451-4545) (ABIN748988)
Target
See all LRP1 AntibodiesReactivity
Host
Clonality
Conjugate
Application
-
-
Binding Specificity
- AA 4451-4545
-
Cross-Reactivity
- Human, Mouse
-
Predicted Reactivity
- Rat,Dog,Pig,Horse,Chicken
-
Purification
- Purified by Protein A.
-
Immunogen
- KLH conjugated synthetic peptide derived from human CD91
-
Isotype
- IgG
-
-
-
-
Application Notes
-
ELISA 1:500-1000
FCM 1:20-100
IHC-P 1:200-400
IHC-F 1:100-500
IF(IHC-P) 1:50-200
IF(IHC-F) 1:50-200
IF(ICC) 1:50-200 -
Restrictions
- For Research Use only
-
-
-
Format
- Liquid
-
Concentration
- 1 μg/μL
-
Buffer
- 0.01M TBS( pH 7.4) with 1 % BSA, 0.02 % Proclin300 and 50 % Glycerol.
-
Preservative
- ProClin
-
Precaution of Use
- This product contains ProClin: a POISONOUS AND HAZARDOUS SUBSTANCE, which should be handled by trained staff only.
-
Storage
- 4 °C,-20 °C
-
Storage Comment
- Shipped at 4°C. Store at -20°C for one year. Avoid repeated freeze/thaw cycles.
-
Expiry Date
- 12 months
-
-
- LRP1 (Low Density Lipoprotein Receptor-Related Protein 1 (LRP1))
-
Alternative Name
- LRP1/CD91
-
Background
-
Synonyms: APR, LRP, A2MR, CD91, APOER, LRP1A, TGFBR5, IGFBP3R, Prolow-density lipoprotein receptor-related protein 1, LRP-1, Alpha-2-macroglobulin receptor, Apolipoprotein E receptor, LRP1
Background: Endocytic receptor involved in endocytosis and in phagocytosis of apoptotic cells. Required for early embryonic development. Involved in cellular lipid homeostasis. Involved in the plasma clearance of chylomicron remnants and activated LRPAP1 (alpha 2-macroglobulin), as well as the local metabolism of complexes between plasminogen activators and their endogenous inhibitors. May modulate cellular events, such as APP metabolism, kinase-dependent intracellular signaling, neuronal calcium signaling as well as neurotransmission. Functions as a receptor for Pseudomonas aeruginosa exotoxin A.
-
Gene ID
- 4035
-
UniProt
- Q07954
-
Pathways
- Smooth Muscle Cell Migration, Platelet-derived growth Factor Receptor Signaling
Target
-