Phone:
+1 877 302 8632
Fax:
+1 888 205 9894 (Toll-free)
E-Mail:
orders@antibodies-online.com

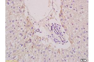
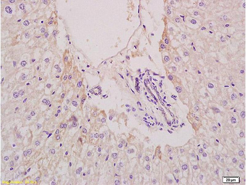
EPHX2 antibody (AA 351-450)

This Rabbit Polyclonal antibody specifically detects EPHX2 in WB, ELISA, IHC (p), IF (cc), IF (p) and IHC (fro). It exhibits reactivity toward Mouse.
Catalog No. ABIN750553
$384.62
Plus shipping costs $50.00
100 μL
Shipping to: United States
Delivery in 4 to 7 Business Days

Quick Overview for EPHX2 antibody (AA 351-450) (ABIN750553)

Target

See all EPHX2 Antibodies
EPHX2 (Epoxide Hydrolase 2, Cytoplasmic (EPHX2))

Reactivity

  • 33
  • 4
  • 4
  • 2
  • 2
  • 1
  • 1
Mouse

Host

  • 24
  • 6
  • 2
  • 1
Rabbit

Clonality

  • 24
  • 9
Polyclonal

Conjugate

  • 29
  • 2
  • 1
  • 1
This EPHX2 antibody is un-conjugated

Application

  • 19
  • 13
  • 12
  • 4
  • 3
  • 2
  • 2
  • 2
Western Blotting (WB), ELISA, Immunohistochemistry (Paraffin-embedded Sections) (IHC (p)), Immunofluorescence (Cultured Cells) (IF (cc)), Immunofluorescence (Paraffin-embedded Sections) (IF (p)), Immunohistochemistry (Frozen Sections) (IHC (fro))
  • Binding Specificity

    • 8
    • 4
    • 2
    • 2
    • 1
    • 1
    • 1
    • 1
    • 1
    AA 351-450

    Cross-Reactivity

    Mouse

    Predicted Reactivity

    Human,Rat,Dog,Cow,Pig,Horse,Rabbit

    Purification

    Purified by Protein A.

    Immunogen

    KLH conjugated synthetic peptide derived from human EPHX2

    Isotype

    IgG
  • Application Notes

    WB 1:300-5000
    ELISA 1:500-1000
    IHC-P 1:200-400
    IHC-F 1:100-500
    IF(IHC-P) 1:50-200
    IF(IHC-F) 1:50-200
    IF(ICC) 1:50-200

    Restrictions

    For Research Use only
  • Format

    Liquid

    Concentration

    1 μg/μL

    Buffer

    0.01M TBS( pH 7.4) with 1 % BSA, 0.02 % Proclin300 and 50 % Glycerol.

    Preservative

    ProClin

    Precaution of Use

    This product contains ProClin: a POISONOUS AND HAZARDOUS SUBSTANCE, which should be handled by trained staff only.

    Storage

    4 °C,-20 °C

    Storage Comment

    Shipped at 4°C. Store at -20°C for one year. Avoid repeated freeze/thaw cycles.

    Expiry Date

    12 months
  • Target

    EPHX2 (Epoxide Hydrolase 2, Cytoplasmic (EPHX2))

    Alternative Name

    EPHX2

    Background

    Synonyms: CEH, SEH, Bifunctional epoxide hydrolase 2, EPHX2

    Background: Bifunctional enzyme. The C-terminal domain has epoxide hydrolase activity and acts on epoxides (alkene oxides, oxiranes) and arene oxides. Plays a role in xenobiotic metabolism by degrading potentially toxic epoxides. Also determines steady-state levels of physiological mediators. The N-terminal domain has lipid phosphatase activity, with the highest activity towards threo-9,10-phosphonooxy-hydroxy-octadecanoic acid, followed by erythro-9,10-phosphonooxy-hydroxy-octadecanoic acid, 12-phosphonooxy-octadec-9Z-enoic acid, 12-phosphonooxy-octadec-9E-enoic acid, and p-nitrophenyl phospate.

    Gene ID

    2053

    UniProt

    P34913
You are here:
Chat with us!