ATG9A antibody (AA 301-400)
Quick Overview for ATG9A antibody (AA 301-400) (ABIN752488)
Target
See all ATG9A AntibodiesReactivity
Host
Clonality
Conjugate
Application
-
-
Binding Specificity
- AA 301-400
-
Cross-Reactivity
- Rat
-
Predicted Reactivity
- Human,Mouse,Dog,Cow,Pig,Rabbit
-
Purification
- Purified by Protein A.
-
Immunogen
- KLH conjugated synthetic peptide derived from human ATG9A
-
Isotype
- IgG
-
-
-
-
Application Notes
-
WB 1:300-5000
ELISA 1:500-1000
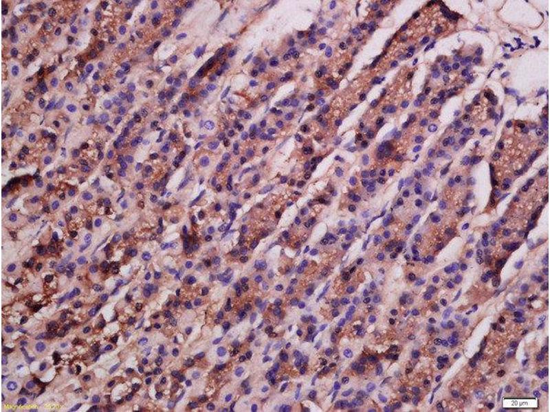
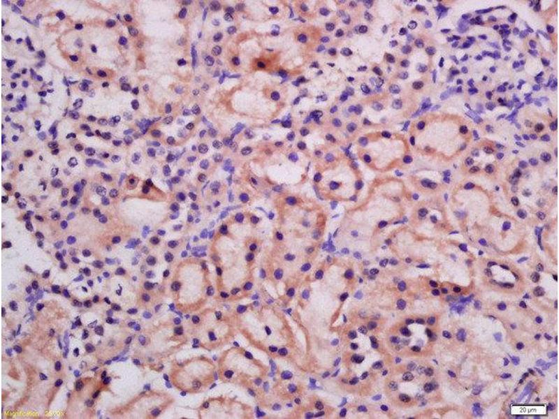
IHC-P 1:200-400
IHC-F 1:100-500
IF(IHC-P) 1:50-200
IF(IHC-F) 1:50-200
IF(ICC) 1:50-200 -
Restrictions
- For Research Use only
-
-
-
Format
- Liquid
-
Concentration
- 1 μg/μL
-
Buffer
- 0.01M TBS( pH 7.4) with 1 % BSA, 0.02 % Proclin300 and 50 % Glycerol.
-
Preservative
- ProClin
-
Precaution of Use
- This product contains ProClin: a POISONOUS AND HAZARDOUS SUBSTANCE, which should be handled by trained staff only.
-
Storage
- 4 °C,-20 °C
-
Storage Comment
- Shipped at 4°C. Store at -20°C for one year. Avoid repeated freeze/thaw cycles.
-
Expiry Date
- 12 months
-
-
- ATG9A (ATG9 Autophagy Related 9 Homolog A (S. Cerevisiae) (ATG9A))
-
Alternative Name
- ATG9A
-
Background
-
Synonyms: mATG9, APG9L1, MGD3208, Autophagy-related protein 9A, APG9-like 1, ATG9A
Background: Involved in autophagy and cytoplasm to vacuole transport (Cvt) vesicle formation. Plays a key role in the organization of the preautophagosomal structure/phagophore assembly site (PAS), the nucleating site for formation of the sequestering vesicle. Cycles between a juxta-nuclear trans-Golgi network compartment and late endosomes. Nutrient starvation induces accumulation on autophagosomes. Starvation-dependent trafficking requires ULK1, ATG13 and SUPT20H.
-
Gene ID
- 79065
-
UniProt
- Q7Z3C6
Target
-