Phone:
+1 877 302 8632
Fax:
+1 888 205 9894 (Toll-free)
E-Mail:
orders@antibodies-online.com

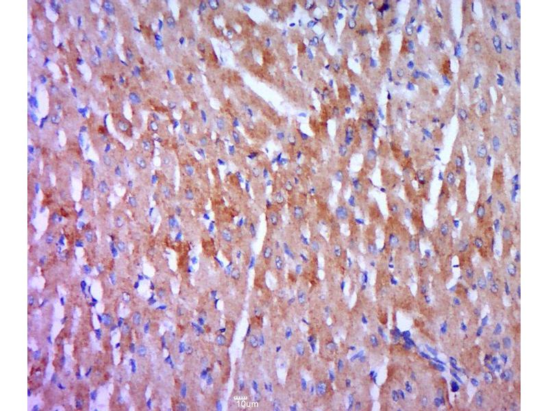
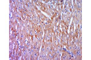
Phospholamban antibody (AA 1-35)

This Rabbit Polyclonal antibody specifically detects Phospholamban in ELISA, IF (cc), IF (p), IHC (p) and IHC (fro). It exhibits reactivity toward Human.
Catalog No. ABIN755263
$384.62
Plus shipping costs $50.00
100 μL
Shipping to: United States
Delivery in 4 to 7 Business Days

Quick Overview for Phospholamban antibody (AA 1-35) (ABIN755263)

Target

See all Phospholamban (PLN) Antibodies
Phospholamban (PLN)

Reactivity

  • 84
  • 23
  • 23
  • 3
  • 2
  • 2
  • 2
Human

Host

  • 84
  • 2
  • 1
Rabbit

Clonality

  • 83
  • 4
Polyclonal

Conjugate

  • 40
  • 6
  • 5
  • 5
  • 3
  • 2
  • 2
  • 2
  • 2
  • 2
  • 2
  • 2
  • 2
  • 2
  • 2
  • 2
  • 2
  • 2
  • 2
This Phospholamban antibody is un-conjugated

Application

  • 35
  • 32
  • 25
  • 25
  • 17
  • 11
  • 9
  • 8
  • 7
  • 7
  • 5
  • 5
  • 1
ELISA, Immunofluorescence (Cultured Cells) (IF (cc)), Immunofluorescence (Paraffin-embedded Sections) (IF (p)), Immunohistochemistry (Paraffin-embedded Sections) (IHC (p)), Immunohistochemistry (Frozen Sections) (IHC (fro))
  • Binding Specificity

    • 26
    • 16
    • 11
    • 9
    • 8
    • 6
    • 2
    • 2
    • 2
    • 2
    • 1
    • 1
    • 1
    • 1
    • 1
    • 1
    AA 1-35

    Predicted Reactivity

    Human,Mouse,Rat,Cow,Pig

    Purification

    Purified by Protein A.

    Immunogen

    KLH conjugated synthetic peptide derived from human phospholamban

    Isotype

    IgG
  • Application Notes

    ELISA 1:500-1000
    IHC-P 1:200-400
    IHC-F 1:100-500
    IF(IHC-P) 1:50-200
    IF(IHC-F) 1:50-200
    IF(ICC) 1:50-200

    Restrictions

    For Research Use only
  • Format

    Liquid

    Concentration

    1 μg/μL

    Buffer

    0.01M TBS( pH 7.4) with 1 % BSA, 0.02 % Proclin300 and 50 % Glycerol.

    Preservative

    ProClin

    Precaution of Use

    This product contains ProClin: a POISONOUS AND HAZARDOUS SUBSTANCE, which should be handled by trained staff only.

    Storage

    4 °C,-20 °C

    Storage Comment

    Shipped at 4°C. Store at -20°C for one year. Avoid repeated freeze/thaw cycles.

    Expiry Date

    12 months
  • Target

    Phospholamban (PLN)

    Alternative Name

    phospholamban

    Background

    Synonyms: Cardiac phospholamban, CMD1P, PLB, PLN, PPLA_HUMAN.

    Background: The Sarco(endo)plasmic-reticulum (SER) regulatory protein, Phospholamban (PLB), is a small, plasma membrane-associated protein found in the SER of cardiac, smooth and slow-twitch muscle. Believed to assemble into a pentamer, PLB regulates cardiac contractility and Ca2+ affinity for cardiac SER Ca2+ ATPase (SERCA2a). Non-phosphorylated PLB associates with SERCA2a, and inhibits Ca2+ reuptake into the SER. PLB activation occurs when key Serine/Threonine residues in PLB (Ser-10, Ser-16, Thr-17) are phosphorylated by numerous effectors, which include PKC, PKA, PKG, and CaM kinase. Phosphorylation of PLB causes dissociation from SERCA2a and a subsequent increase in the rate of Ca2+ reuptake into the SER, which accelerates ventricular relaxation.

    Gene ID

    5350

    Pathways

    Negative Regulation of Transporter Activity
You are here:
Chat with us!