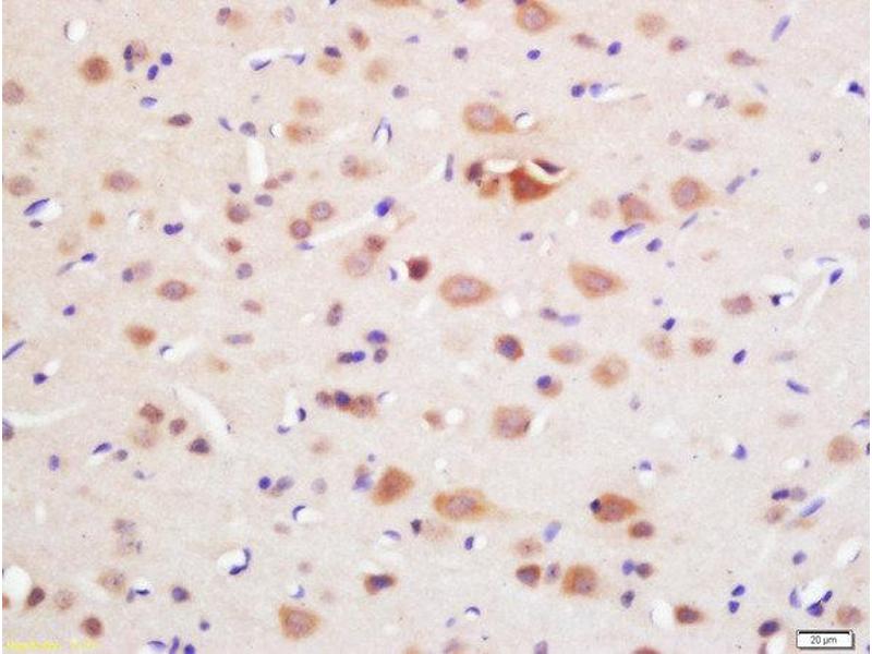
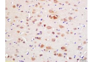
The Rabbit Polyclonal anti-EPB41L3 antibody is suitable to detect EPB41L3 in samples from Human, Mouse and Rat. It has been validated for WB and ELISA.
EPB41L3
Reactivity: Human
WB, ELISA
Host: Mouse
Monoclonal
unconjugated
Application Notes
WB: 1:100-1000, IHC-P: 1:100-500, IF(IHC-P): 1:50-200 Optimal working dilution should be determined by the investigator.
Restrictions
For Research Use only
Format
Liquid
Concentration
1 mg/mL
Buffer
0.01M TBS( pH 7.4) with 1 % BSA, 0.02 % Proclin300 and 50 % Glycerol.
Preservative
Sodium azide
Precaution of Use
This product contains Sodium azide: a POISONOUS AND HAZARDOUS SUBSTANCE which should be handled by trained staff only.
Storage
4 °C,-20 °C
Storage Comment
Shipped at 4°C. Store at -20°C for one year. Avoid repeated freeze/thaw cycles.
Expiry Date
12 months
Target
EPB41L3
(Erythrocyte Membrane Protein Band 4.1 Like 3 (EPB41L3))
Alternative Name
Dal1
Background
Optional[synonyms]: Differentially expressed in adenocarcinoma of the lung protein 1, 4.1B, Band 4.1 like protein 3, DAL 1, DAL1, EPB41L3, Erythrocyte membrane protein band 4.1 like 3, HGNC:3380, KIAA0987, E41L3_HUMAN.