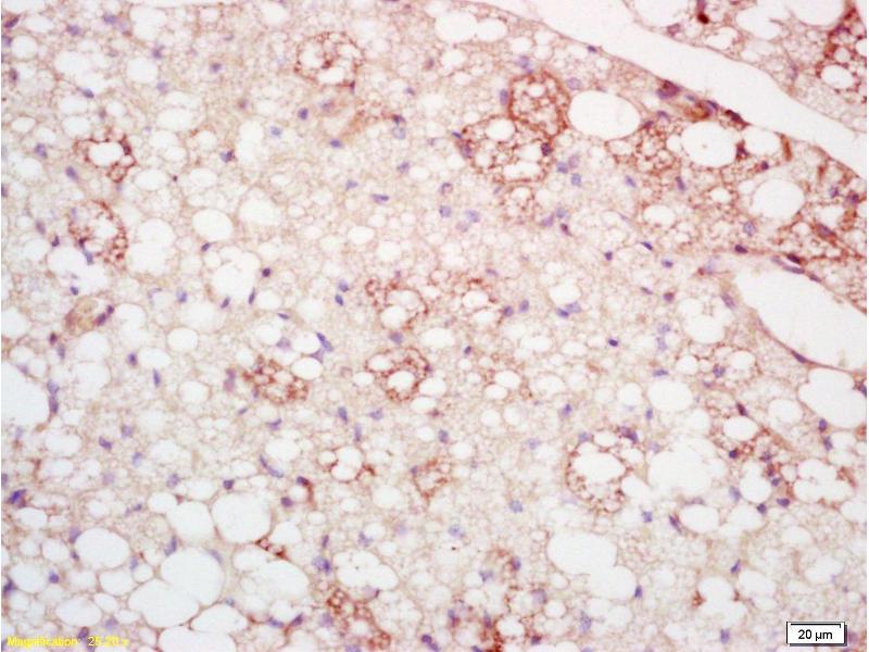
CLMP antibody (AA 15-110)
Quick Overview for CLMP antibody (AA 15-110) (ABIN761291)
Target
See all CLMP AntibodiesReactivity
Host
Clonality
Conjugate
Application
-
-
Binding Specificity
- AA 15-110
-
Cross-Reactivity
- Human
-
Predicted Reactivity
- Mouse,Rat,Dog,Cow,Sheep,Horse,Rabbit
-
Purification
- Purified by Protein A.
-
Immunogen
- KLH conjugated synthetic peptide derived from human ASAM/ACAM
-
Isotype
- IgG
-
-
-
-
Application Notes
-
WB 1:300-5000
ELISA 1:500-1000
IHC-P 1:200-400
IHC-F 1:100-500
IF(IHC-P) 1:50-200
IF(IHC-F) 1:50-200
IF(ICC) 1:50-200
ICC 1:100-500 -
Restrictions
- For Research Use only
-
-
-
Format
- Liquid
-
Concentration
- 1 μg/μL
-
Buffer
- 0.01M TBS( pH 7.4) with 1 % BSA, 0.02 % Proclin300 and 50 % Glycerol.
-
Preservative
- ProClin
-
Precaution of Use
- This product contains ProClin: a POISONOUS AND HAZARDOUS SUBSTANCE, which should be handled by trained staff only.
-
Storage
- 4 °C,-20 °C
-
Storage Comment
- Shipped at 4°C. Store at -20°C for one year. Avoid repeated freeze/thaw cycles.
-
Expiry Date
- 12 months
-
-
- CLMP (CXADR-Like Membrane Protein (CLMP))
-
Alternative Name
- Asam
-
Background
-
Synonyms: ACAM, Adipocyte specic adhesion molecule, CAR like membrane protein, CLMP, Coxsackie and adenovirus receptor like membrane protein, CLMP_HUMAN.
Background: The CTX family of proteins, including ASAM, are type I transmembrane proteins within the Ig superfamily that localize to junctional complexes between endothelial and epithelial cells and may play a role in cell-cell adhesion.
-
Gene ID
- 79827
Target
-