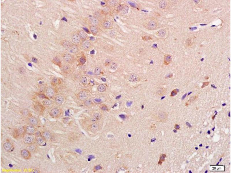
CNTN3 antibody (AA 301-400)
Quick Overview for CNTN3 antibody (AA 301-400) (ABIN761441)
Target
See all CNTN3 AntibodiesReactivity
Host
Clonality
Conjugate
Application
-
-
Binding Specificity
- AA 301-400
-
Cross-Reactivity
- Rat
-
Predicted Reactivity
- Human,Mouse,Dog,Cow,Horse,Chicken,Rabbit
-
Purification
- Purified by Protein A.
-
Immunogen
- KLH conjugated synthetic peptide derived from human Contactin 3
-
Isotype
- IgG
-
-
-
-
Application Notes
-
ELISA 1:500-1000
IHC-P 1:200-400
IHC-F 1:100-500
IF(IHC-P) 1:50-200
IF(IHC-F) 1:50-200
IF(ICC) 1:50-200 -
Restrictions
- For Research Use only
-
-
-
Format
- Liquid
-
Concentration
- 1 μg/μL
-
Buffer
- 0.01M TBS( pH 7.4) with 1 % BSA, 0.02 % Proclin300 and 50 % Glycerol.
-
Preservative
- ProClin
-
Precaution of Use
- This product contains ProClin: a POISONOUS AND HAZARDOUS SUBSTANCE, which should be handled by trained staff only.
-
Storage
- 4 °C,-20 °C
-
Storage Comment
- Shipped at 4°C. Store at -20°C for one year. Avoid repeated freeze/thaw cycles.
-
Expiry Date
- 12 months
-
-
- CNTN3 (Contactin 3 (Plasmacytoma Associated) (CNTN3))
-
Alternative Name
- Contactin 3
-
Background
-
Synonyms: PCS, PANG, BIG-1, Contactin-3, Brain-derived immunoglobulin superfamily protein 1, Plasmacytoma-associated neuronal glycoprotein, CNTN3, KIAA1496
Background: Contactins mediate cell surface interactions during nervous system development. Has some neurite outgrowth-promoting activity (By similarity).
-
Gene ID
- 5067
-
UniProt
- Q9P232
Target
-