Phone:
+1 877 302 8632
Fax:
+1 888 205 9894 (Toll-free)
E-Mail:
orders@antibodies-online.com

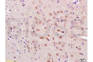
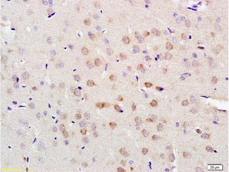
LLGL1 antibody (AA 801-900)

The Rabbit Polyclonal anti-LLGL1 antibody is suitable to detect LLGL1 in samples from Rat. It has been validated for WB, ELISA, IF (cc), IF (p), IHC (fro) and IHC (p).
Catalog No. ABIN761966
$384.62
Plus shipping costs $50.00
100 μL
Shipping to: United States
Delivery in 4 to 7 Business Days

Quick Overview for LLGL1 antibody (AA 801-900) (ABIN761966)

Target

See all LLGL1 Antibodies
LLGL1 (Lethal Giant Larvae Homolog 1 (LLGL1))

Reactivity

Rat

Host

  • 27
  • 2
Rabbit

Clonality

  • 18
  • 11
Polyclonal

Conjugate

  • 11
  • 2
  • 2
  • 2
  • 2
  • 2
  • 2
  • 2
  • 1
  • 1
  • 1
  • 1
This LLGL1 antibody is un-conjugated

Application

  • 18
  • 9
  • 8
  • 3
  • 2
  • 1
  • 1
Western Blotting (WB), ELISA, Immunofluorescence (Cultured Cells) (IF (cc)), Immunofluorescence (Paraffin-embedded Sections) (IF (p)), Immunohistochemistry (Frozen Sections) (IHC (fro)), Immunohistochemistry (Paraffin-embedded Sections) (IHC (p))
  • Binding Specificity

    • 4
    • 3
    • 2
    • 2
    • 1
    AA 801-900

    Cross-Reactivity

    Rat

    Predicted Reactivity

    Human,Mouse,Dog,Cow,Horse

    Purification

    Purified by Protein A.

    Immunogen

    KLH conjugated synthetic peptide derived from human LLGL1

    Isotype

    IgG
  • Application Notes

    WB 1:300-5000
    ELISA 1:500-1000
    IHC-P 1:200-400
    IHC-F 1:100-500
    IF(IHC-P) 1:50-200
    IF(IHC-F) 1:50-200
    IF(ICC) 1:50-200

    Restrictions

    For Research Use only
  • Format

    Liquid

    Concentration

    1 μg/μL

    Buffer

    0.01M TBS( pH 7.4) with 1 % BSA, 0.02 % Proclin300 and 50 % Glycerol.

    Preservative

    ProClin

    Precaution of Use

    This product contains ProClin: a POISONOUS AND HAZARDOUS SUBSTANCE, which should be handled by trained staff only.

    Storage

    4 °C,-20 °C

    Storage Comment

    Shipped at 4°C. Store at -20°C for one year. Avoid repeated freeze/thaw cycles.

    Expiry Date

    12 months
  • Target

    LLGL1 (Lethal Giant Larvae Homolog 1 (LLGL1))

    Alternative Name

    Llgl1

    Sub Type

    Cocktail

    Background

    Synonyms: DLG4, HUGL, LLGL, HUGL1, HUGL-1, Lethal(2) giant larvae protein homolog 1, Human homolog to the D-lgl gene protein, LLGL1

    Background: Cortical cytoskeleton protein found in a complex involved in maintaining cell polarity and epithelial integrity. Involved in the regulation of mitotic spindle orientation, proliferation, differentiation and tissue organization of neuroepithelial cells. Involved in axonogenesis through RAB10 activation thereby regulating vesicular membrane trafficking toward the axonal plasma membrane.

    Gene ID

    3996

    UniProt

    Q15334

    Pathways

    WNT Signaling
You are here:
Chat with us!