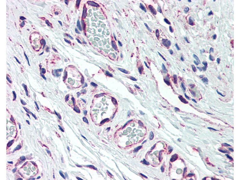
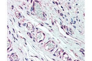
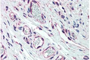
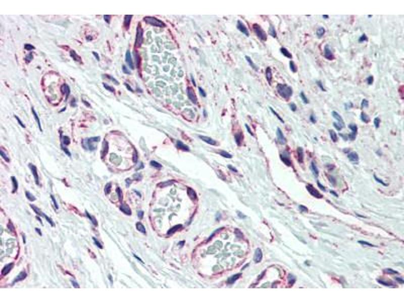
PIK3C2A antibody (AA 1577-1687)
Quick Overview for PIK3C2A antibody (AA 1577-1687) (ABIN790559)
Target
See all PIK3C2A AntibodiesReactivity
Host
Clonality
Conjugate
Application
Clone
-
-
Binding Specificity
- AA 1577-1687
-
Brand
- IHC-plus™
-
Specificity
- Human PIK3C2A
-
Purification
- Purified from ascites by Protein A
-
Immunogen
-
PIK3C2A (NP_002636, 1577 a.a. ~ 1687 a.a) partial recombinant protein with GST tag. MW of the GST tag alone is 26 KDa.
Type of Immunogen: Recombinant protein -
Isotype
- IgG1 kappa
-
-
-
-
Application Notes
-
Approved: ELISA, IHC, IHC-P (5 μg/mL), WB
Usage: Immunohistochemistry: Formalin-fixed paraffin-embedded sections. Sandwich ELISA: Recombinant protein. Western Blot with the recombinant protein used as the immunogen. -
Comment
-
Target Species of Antibody: Human
-
Restrictions
- For Research Use only
-
-
-
Format
- Liquid
-
Concentration
- Lot specific
-
Buffer
- PBS, pH 7.4. Sourced in Ascites.
-
Handling Advice
- Aliquot to Avoid repeated freezing and thawing.
-
Storage
- -20 °C
-
Storage Comment
- Store at -20°C or lower. Aliquot to avoid freeze-thaw cycles.
-
-
- PIK3C2A (Phosphoinositide-3-Kinase, Class 2, alpha Polypeptide (PIK3C2A))
-
Alternative Name
- PIK3C2A
-
Background
-
Name/Gene ID: PIK3C2A
Family: Non-Protein Kinase
Synonyms: PIK3C2A, CPK, PI3K-C2-alpha, PI3-K-C2(ALPHA), PI3-K-C2A, PI3K-C2alpha -
Gene ID
- 5286
-
NCBI Accession
- NP_002636
-
UniProt
- O00443
-
Pathways
- EGFR Signaling Pathway, Inositol Metabolic Process, Platelet-derived growth Factor Receptor Signaling
Target
-