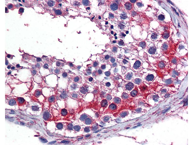
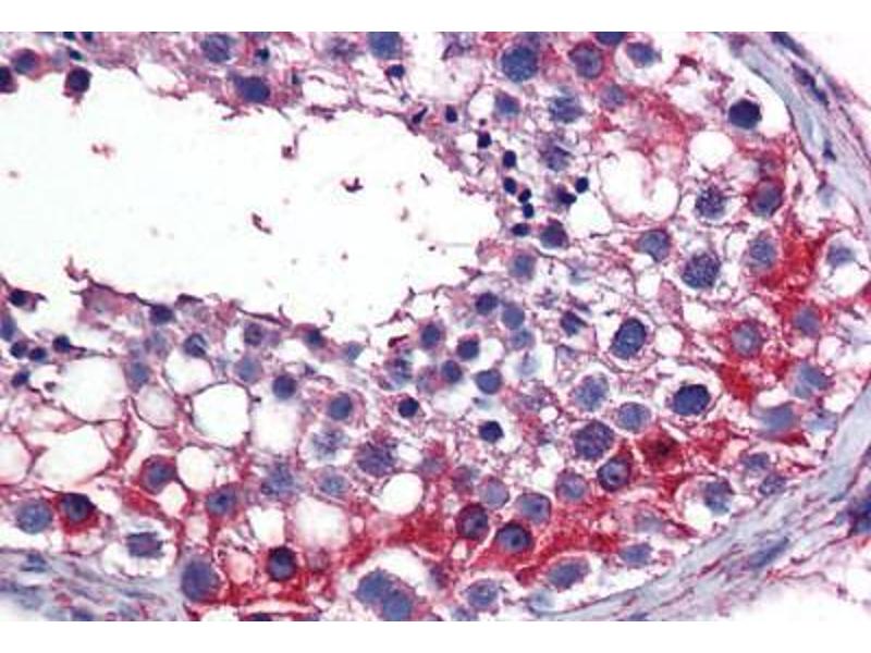
TES antibody (AA 1-422)
Quick Overview for TES antibody (AA 1-422) (ABIN790664)
Target
See all TES AntibodiesReactivity
Host
Clonality
Conjugate
Application
Clone
-
-
Binding Specificity
- AA 1-422
-
Specificity
- Human TES
-
Purification
- Purified from ascites by Protein A
-
Immunogen
-
TES (AAH01451, 1 a.a. ~ 422 a.a) full length recombinant protein with GST tag. MW of the GST tag alone is 26 KDa.
Type of Immunogen: Recombinant protein -
Isotype
- IgG1 kappa
-
-
-
-
Application Notes
-
Approved: ELISA, IF (10 μg/mL), IHC, IHC-P (3 - 5 μg/mL), WB (1:500 - 1:1000)
Usage: Immunohistochemistry: Formalin-fixed paraffin-embedded sections. Western Blot using transfected cell lysates, cell line lysates and the recombinant protein used as the immunogen. -
Comment
-
Target Species of Antibody: Human
-
Restrictions
- For Research Use only
-
-
-
Format
- Liquid
-
Concentration
- Lot specific
-
Buffer
- PBS, pH 7.4.
-
Handling Advice
- Aliquot to Avoid repeated freezing and thawing.
-
Storage
- -20 °C
-
Storage Comment
- Store at -20°C or lower. Aliquot to avoid freeze-thaw cycles.
-
-
- TES (Testis Derived Transcript (3 LIM Domains) (TES))
-
Alternative Name
- TES / Testin
-
Background
-
Name/Gene ID: TES
Synonyms: TES, DKFZP586B2022, TESS-2, TESS, Testin -
Gene ID
- 26136
-
UniProt
- Q9UGI8
Target
-