IKbIP antibody (AA 250-350)
Quick Overview for IKbIP antibody (AA 250-350) (ABIN872858)
Target
See all IKbIP AntibodiesReactivity
Host
Clonality
Conjugate
Application
-
-
Binding Specificity
- AA 250-350
-
Cross-Reactivity
- Mouse
-
Predicted Reactivity
- Human,Rat,Cow,Sheep,Horse
-
Purification
- Purified by Protein A.
-
Immunogen
- KLH conjugated synthetic peptide derived from human IKIP
-
Isotype
- IgG
-
-
-
-
Application Notes
-
WB 1:300-5000
ELISA 1:500-1000
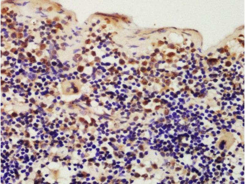
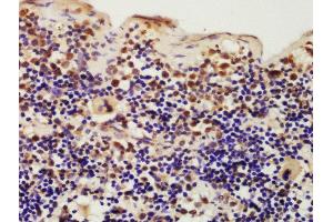
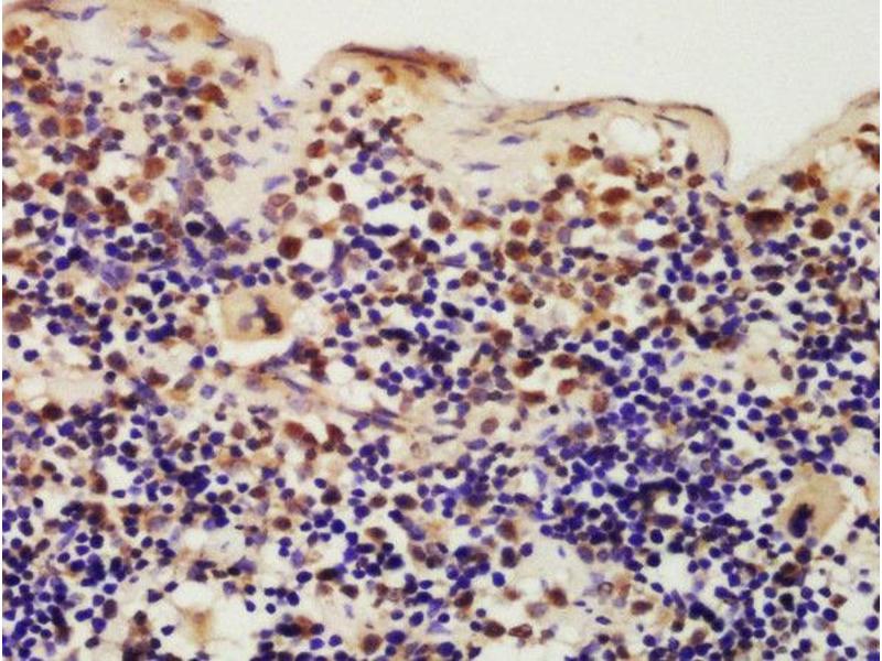
IHC-P 1:200-400
IHC-F 1:100-500
IF(IHC-P) 1:50-200
IF(IHC-F) 1:50-200
IF(ICC) 1:50-200 -
Restrictions
- For Research Use only
-
-
-
Format
- Liquid
-
Concentration
- 1 μg/μL
-
Buffer
- 0.01M TBS( pH 7.4) with 1 % BSA, 0.02 % Proclin300 and 50 % Glycerol.
-
Preservative
- ProClin
-
Precaution of Use
- This product contains ProClin: a POISONOUS AND HAZARDOUS SUBSTANCE, which should be handled by trained staff only.
-
Storage
- 4 °C,-20 °C
-
Storage Comment
- Shipped at 4°C. Store at -20°C for one year. Avoid repeated freeze/thaw cycles.
-
Expiry Date
- 12 months
-
-
- IKbIP (Inhibitor of KB Kinase beta Interacting Protein (IKbIP))
-
Alternative Name
- IKIP
-
Background
-
Synonyms: IKIP, Inhibitor of nuclear factor kappa-B kinase-interacting protein, I kappa-B kinase-interacting protein, IKBKB-interacting protein, IKK-interacting protein, IKBIP
Background: Target of p53/TP53 with pro-apoptotic function.
-
Gene ID
- 121457
-
UniProt
- Q70UQ0
Target
-