CECR5 antibody (AA 251-350)
Quick Overview for CECR5 antibody (AA 251-350) (ABIN872871)
Target
See all CECR5 AntibodiesReactivity
Host
Clonality
Conjugate
Application
-
-
Binding Specificity
- AA 251-350
-
Cross-Reactivity
- Human, Rat
-
Predicted Reactivity
- Mouse,Dog,Pig,Horse,Rabbit
-
Purification
- Purified by Protein A.
-
Immunogen
- KLH conjugated synthetic peptide derived from human CECR5
-
Isotype
- IgG
-
-
-
-
Application Notes
-
WB 1:300-5000
ELISA 1:500-1000
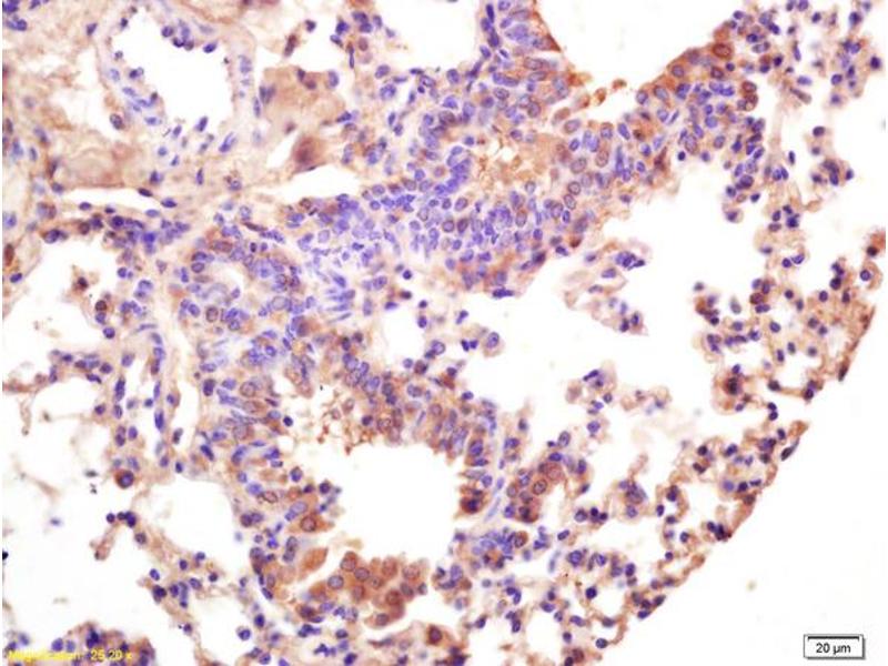
IHC-P 1:200-400
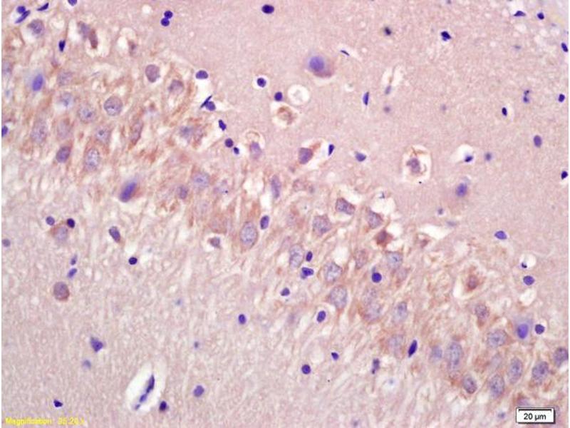
IHC-F 1:100-500
IF(IHC-P) 1:50-200
IF(IHC-F) 1:50-200
IF(ICC) 1:50-200 -
Restrictions
- For Research Use only
-
-
-
Format
- Liquid
-
Concentration
- 1 μg/μL
-
Buffer
- 0.01M TBS( pH 7.4) with 1 % BSA, 0.02 % Proclin300 and 50 % Glycerol.
-
Preservative
- ProClin
-
Precaution of Use
- This product contains ProClin: a POISONOUS AND HAZARDOUS SUBSTANCE, which should be handled by trained staff only.
-
Storage
- 4 °C,-20 °C
-
Storage Comment
- Shipped at 4°C. Store at -20°C for one year. Avoid repeated freeze/thaw cycles.
-
Expiry Date
- 12 months
-
-
- CECR5 (Cat Eye Syndrome Chromosome Region, Candidate 5 (CECR5))
-
Alternative Name
- Cecr5
-
Background
-
Synonyms: Cat eye syndrome critical region protein 5, CECR5
Background: CECR5 is widely expressed. There are 2 known isoforms produced by alternative splicing.
-
Gene ID
- 27440
-
UniProt
- Q9BXW7
Target
-