Phone:
+1 877 302 8632
Fax:
+1 888 205 9894 (Toll-free)
E-Mail:
orders@antibodies-online.com

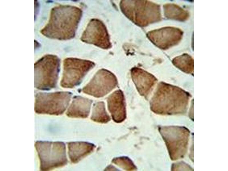
CCDC85B antibody (Middle Region)

The Rabbit Polyclonal anti-CCDC85B antibody (ABIN951126) specifically detects CCDC85B in WB, FACS, IHC (p) and EIA. The antibody is reactive with Human samples.
Catalog No. ABIN951126
$846.00
Plus shipping costs $50.00
0.4 mL
Shipping to: United States
Delivery in 1 to 2 Business Days

Quick Overview for CCDC85B antibody (Middle Region) (ABIN951126)

Target

See all CCDC85B Antibodies
CCDC85B (Coiled-Coil Domain Containing 85B (CCDC85B))

Reactivity

  • 6
  • 3
  • 2
  • 2
  • 2
  • 2
  • 1
  • 1
  • 1
  • 1
  • 1
Human

Host

  • 6
Rabbit

Clonality

  • 6
Polyclonal

Conjugate

  • 6
This CCDC85B antibody is un-conjugated

Application

  • 6
  • 3
  • 2
  • 2
  • 1
Western Blotting (WB), Flow Cytometry (FACS), Immunohistochemistry (Paraffin-embedded Sections) (IHC (p)), Enzyme Immunoassay (EIA)
  • Binding Specificity

    • 1
    • 1
    • 1
    • 1
    • 1
    • 1
    AA 75-105, Middle Region

    Specificity

    This antibody recognizes Human CCDC85B / DIPA (Center).

    Purification

    Affinity Chromatography on Protein A

    Immunogen

    KLH conjugated synthetic peptide between 75~105 amino acids from the Center region of human DIPA

    Isotype

    Ig Fraction
  • Application Notes

    Optimal working dilution should be determined by the investigator.

    Restrictions

    For Research Use only
  • Format

    Liquid

    Concentration

    0.25 mg/mL

    Buffer

    PBS, 0.09 % Sodium Azide

    Preservative

    Sodium azide

    Precaution of Use

    This product contains sodium azide: a POISONOUS AND HAZARDOUS SUBSTANCE which should be handled by trained staff only.

    Handling Advice

    Avoid repeated freezing and thawing.

    Storage

    4 °C/-20 °C

    Storage Comment

    Store undiluted at 2-8 °C for one month or (in aliquots) at -20 °C for longer.
  • Target

    CCDC85B (Coiled-Coil Domain Containing 85B (CCDC85B))

    Alternative Name

    CCDC85B / DIPA

    Background

    DIPA functions as a transcriptional repressor. It may inhibit the activity of CTNNB1 in a TP53-dependent manner and thus regulate cell growth. It may function in adipocyte differentiation, negatively regulating mitotic clonal expansion.Synonyms: Coiled-coil domain-containing protein 85B

    Molecular Weight

    22091 Da

    Gene ID

    11007

    NCBI Accession

    NP_006839
You are here:
Blank Blank Blank Blank
Blank Blank Blank Blank
Chat with us!