×
For best experience we recommend to activate Javascript in your browser.
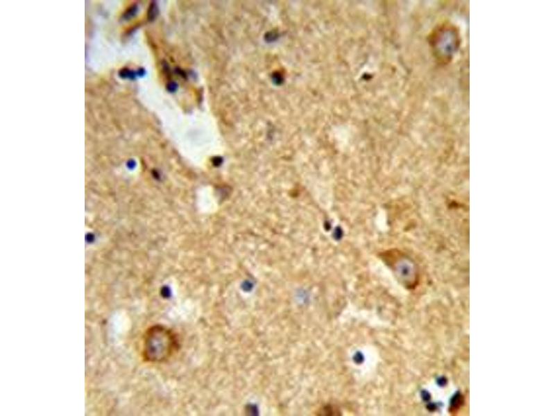
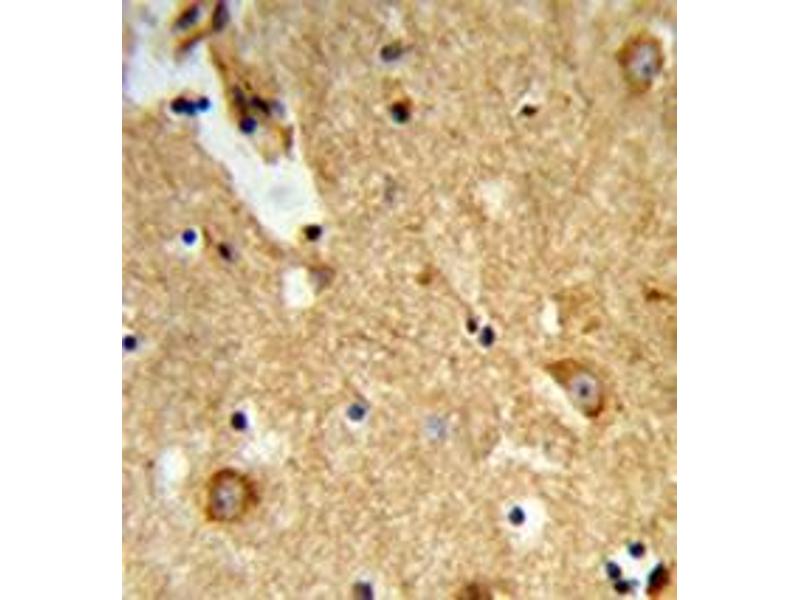
ENTPD2 antibody (N-Term)
This Rabbit Polyclonal antibody specifically detects ENTPD2 in WB, IHC (p), FACS and EIA. It exhibits reactivity toward Human.
Catalog No. ABIN952090
$846.00
Plus shipping costs $50.00
Delivery in 1 to 2 Business Days
Quick Overview for ENTPD2 antibody (N-Term) (ABIN952090)
Target
See all ENTPD2 Antibodies
ENTPD2
(Ectonucleoside Triphosphate diphosphohydrolase 2 (ENTPD2))
Reactivity
All reactivities for ENTPD2 antibodies
Human
Host
All hosts for ENTPD2 antibodies
Rabbit
Clonality
All clonalities for ENTPD2 antibodies
Polyclonal
Conjugate
All conjugates for ENTPD2 antibodies
This ENTPD2 antibody is un-conjugated
Application
All applications for ENTPD2 antibodies
Western Blotting (WB), Immunohistochemistry (Paraffin-embedded Sections) (IHC (p)), Flow Cytometry (FACS), Enzyme Immunoassay (EIA)
Product Details anti-ENTPD2 Antibody
(hide)
Binding Specificity
All epitopes for ENTPD2 antibodies
AA 92-122, N-Term
Specificity
This antibody recognizes Human ENTPD2 / CD39L1 (N-term).
Purification
Affinity Chromatography on Protein A
Immunogen
KLH conjugated synthetic peptide between 92~122 amino acids from the N-terminal region of Human ENTPD2.
Isotype
Ig Fraction
Alternatives
(show)
Application Details
(hide)
Application Notes
Optimal working dilution should be determined by the investigator.
Restrictions
For Research Use only
Handling
(hide)
Format
Liquid
Concentration
0.25 mg/mL
Buffer
PBS containing 0.09 % (W/V) Sodium Azide as preservative
Preservative
Sodium azide
Precaution of Use
This product contains sodium azide: a POISONOUS AND HAZARDOUS SUBSTANCE which should be handled by trained staff only.
Handling Advice
Avoid repeated freezing and thawing.
Storage
4 °C/-20 °C
Storage Comment
Store undiluted at 2-8 °C for one month or (in aliquots) at -20 °C for longer.
Target Details for ENTPD2
(hide)
Target
ENTPD2
(Ectonucleoside Triphosphate diphosphohydrolase 2 (ENTPD2))
Alternative Name
ENTPD2 / CD39L1
Background
ENTPD2 is the type 2 enzyme of the ecto-nucleoside triphosphate diphosphohydrolase family (E-NTPDase). E-NTPDases are a family of ecto-nucleosidases that hydrolyze 5'-triphosphates. This ecto-ATPase is an integral membrane protein.Synonyms: CD39 antigen-like 1, Ecto-ATP diphosphohydrolase 2, Ecto-ATPase, Ectonucleoside triphosphate diphosphohydrolase 2, NTPDase 2
Molecular Weight
53665 Da
Gene ID
954
NCBI Accession
NP_001237
Recently viewed
(hide)
You are here:
Homepage
anti-ENTPD2 antibody (N-Term) (ABIN952090)
Chat with us , powered by LiveChat