Phone:
+1 877 302 8632
Fax:
+1 888 205 9894 (Toll-free)
E-Mail:
orders@antibodies-online.com

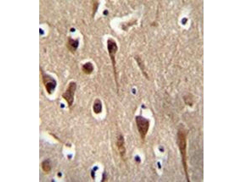
FBXO39 antibody (C-Term)

The Rabbit Polyclonal anti-FBXO39 antibody (ABIN952287) specifically detects FBXO39 in WB, IHC (p) and EIA. The antibody is reactive with Human and Mouse samples.
Catalog No. ABIN952287
$846.00
Plus shipping costs $50.00
0.4 mL
Shipping to: United States
Delivery in 1 to 2 Business Days

Quick Overview for FBXO39 antibody (C-Term) (ABIN952287)

Target

See all FBXO39 Antibodies
FBXO39 (F-Box Protein 39 (FBXO39))

Reactivity

  • 13
  • 8
  • 3
  • 2
  • 2
  • 1
  • 1
  • 1
  • 1
Human, Mouse

Host

  • 13
Rabbit

Clonality

  • 13
Polyclonal

Conjugate

  • 8
  • 1
  • 1
  • 1
  • 1
  • 1
This FBXO39 antibody is un-conjugated

Application

  • 13
  • 8
  • 7
  • 1
Western Blotting (WB), Immunohistochemistry (Paraffin-embedded Sections) (IHC (p)), Enzyme Immunoassay (EIA)
  • Binding Specificity

    • 7
    • 3
    • 2
    • 1
    • 1
    AA 392-422, C-Term

    Specificity

    This antibody recognizes Human and Mouse FBXO39 (C-term).

    Purification

    Affinity Chromatography on Protein A

    Immunogen

    KLH conjugated synthetic peptide between 392-422 amino acids from the C-terminal region of Human FBXO39

    Isotype

    Ig Fraction
  • Application Notes

    Optimal working dilution should be determined by the investigator.

    Restrictions

    For Research Use only
  • Format

    Liquid

    Concentration

    0.25 mg/mL

    Buffer

    PBS containing 0.09 % (W/V) Sodium Azide as preservative

    Preservative

    Sodium azide

    Precaution of Use

    This product contains sodium azide: a POISONOUS AND HAZARDOUS SUBSTANCE which should be handled by trained staff only.

    Handling Advice

    Avoid repeated freezing and thawing.

    Storage

    4 °C/-20 °C

    Storage Comment

    Store undiluted at 2-8 °C for one month or (in aliquots) at -20 °C for longer.
  • Target

    FBXO39 (F-Box Protein 39 (FBXO39))

    Alternative Name

    FBXO39

    Background

    Members of the F-box protein family, such as FBXO39, are characterized by an approximately 40-amino acid F-box motif. SCF complexes, formed by SKP1 (MIM 601434), cullin (see CUL1, MIM 603134), and F-box proteins, act as protein-ubiquitin ligases. F-box proteins interact with SKP1 through the F box, and they interact with ubiquitination targets through other protein interaction domains (Jin et al., 2004 [PubMed 15520277]).[supplied by OMIM].Synonyms: F-box only protein 39, FBX39

    Molecular Weight

    52646 Da

    Gene ID

    162517

    NCBI Accession

    NP_694962
You are here:
Chat with us!